178号 AUTUMN 目次を見る
キーワード:コンポジットレジン研磨の必要性/適切なコンポジットレジン研磨方法と器材選択
■目 次
- ≫ はじめに ~コンポジットレジンの研磨は必要なのか~
- ≫ コンポジットレジン研磨の臨床的意義
- ≫ 「研磨」をあらためて考察する
- ≫ フロアブルやユニバーサルは名前から違う~物性や組成が異なる分、研磨結果も異なる
- ≫ エデンタの新しい研磨器材~トップグロス、コンポグロス、トップブラシの紹介
- ≫ 症例紹介
- ≫ 研磨は即日?後日? そしてメインテナンスについて
- ≫ 最後に
■はじめに ~コンポジットレジンの研磨は必要なのか~
古来より「画竜点睛を欠く」という言葉がある。それは「どんなに優れたものであっても、最後の肝心な一仕上げが抜けているために、全体が生きてこず完成しているとはいえない様」を意味している。非常に緻密な手技や正確な操作がいくつも要求される歯科治療であるが、直接コンポジットレジン修復においても、当然それは言えるのではないだろうか。
従来の光重合型コンポジットレジン(ペースト・ユニバーサルタイプ)を充填器で填塞・築盛・賦形して光照射し硬化させた表面には、大小さまざまな凸凹が存在している。この状態は非常に舌感も悪くてプラークも付着しやすく、なにより本来歯牙が有する自然な形態や表面性状を再現できているとは言いがたい。一方、フロアブルレジンの場合だと、レジンのフロー(稠度)にもよるが窩洞への填塞後は表面張力の影響で一見平坦となり、光照射によって硬化すればそのまま手を加えずとも良いように見える(図1)。
器材のコストや治療時間の管理に忙殺されがちな健康保険診療が主体なら、そのまま治療完了としてしまうかもしれない。
![[写真] #33/34間隣接面の充填直後](https://cdn01.dental-plaza.com/pdf/sites/2/2021/09/178-2_photo01.jpg)
図1 #33/34間隣接面の充填直後。表面には溢出したレジンペーストや飛散したボンディング材が付着しているものの、その視認性はきわめて低い。
■コンポジットレジン研磨の臨床的意義
しかし実際には、その表面は未重合のレジンモノマーでベタベタしており、さらに周囲にはエアブローによって飛散したボンディング材が硬化・付着している。中には、それらが歯頸部や歯間部に残留していることで、経時的に歯肉炎を併発してしまうこともある。
元来、コンポジットレジンが重合する時には、カンファーキノン(Camphorquinone)のような重合開始剤などを起点としてラジカル(radical、不対電子を持ち極めて反応性の高い化学種)が発生・遊離するが、そのラジカルが空気中の酸素と速やかに反応してしまうので、表層部の重合率は若干低下する1)。この低重合層が存在することで、積層充塡したコンポジットレジン同士が強固に結合し、一体化するという利点もあるが、反面この層は脆弱であり、表面に残留していると、経時的に加水分解による劣化を生じる2)。やがて表面が粗造となり、色素性沈着物による審美不良を発生するだけでなく、摩擦係数の増加に伴う摩耗や破折の要因となり、プラークや食渣停滞を伴う。そして二次う蝕や歯周病の発生・悪化の原因となりかねない。
近年ではモノマーや重合触媒が改善されることで重合率が向上している製品もあるが、 コンポジットレジン修復の機能や審美性を長期間維持するためには、この低重合層を充填後そのまま放置せず、形態修正および研磨を行うことが必要である3)。
■「研磨」をあらためて考察する
基本的に「研磨」とは、凸凹した性状の表面に対して、対象物より硬度の高い物をこすりつけることで表面の性状を滑らかにすることだが、まず切削と研削、研磨、それぞれの違いを理解する必要がある。切削とは「(刃物で)切り取る」こと、研削とは「(砥石などで)研ぎ削る」、そして研磨は「研ぎ磨く」ことである4)。爪の手入れを例にとると、爪切りは文字通り「切削」、やすりで爪の形状を整えるのは「研削」、そして爪の表面を磨いて光沢を出すのが「研磨」になる。
では、一般的なコンポジットレジン修復の場合はどうだろう(図2)。まず窩洞の辺縁からはみ出たコンポジットレジン(バリ)を手用インスツルメントや細かい粒度(スーパーファイン)のダイヤモンドポイント、カーバイドバーなどで大まかに除去するとともに解剖学的な概形を整える。
上顎前歯舌側や臼歯咬合面などに修復を行った場合では、さらに対合歯との咬合接触部位(例:臼歯咬合面、上顎前歯舌側面、下顎前歯切縁など)咬頭嵌合位や、側方・前方運動時における咬合接触状態を咬合紙などでチェックする5)。もし強い早期接触や干渉部を残してしまうと、修復物の破損や接着界面の剥離、咬合性外傷などの原因となるので、修復物に負荷をかけないよう注意して軽圧で適宜削除し、適切な咬合状態となるよう調整する。
これらの咬合調整や形態修正は「切削」「研削」にあたり、次いで仕上げとして「研磨・艶出し」に移行していく6)。筆者の場合、プラスチックや紙製などのディスク、ストリップス(テープ)に研磨材が付着されたものを用いることもあるが、多くの場合はシリコンポイントを用いて修復物表面の研磨・艶出しを行う。
これらの研磨器材を顕微鏡で観察してみると、非常に多くの砥粒(酸化アルミニウム(Al2O3)の結晶やダイヤモンドなどの微小な粒)がシリコンやガラスなどのバインダー(結合材)に配合され、固められている。その含有量や大きさ、そして硬さが研磨能力を決定する。
いずれの研磨システムを用いるにしても、各システムには使用する順番や回転数が定められていて、添付されている使用説明書に記載されている。そして適切な結果を得るためには、それらを遵守して使用することが重要である。
![[写真] 切削、研削、研磨](https://cdn01.dental-plaza.com/pdf/sites/2/2021/09/178-2_photo02.jpg)
図2 切削、研削、研磨。
■フロアブルやユニバーサルは名前から違う~物性や組成が異なる分、研磨結果も異なる
基本的には粗い目のもので大まかな形を整え、次いで細かい目のもので順番に表面を綺麗にしていく。もし大きな傷や粗い砥粒が表面に残っていると、より細かい研磨工程が円滑に進まず荒れた表面性状のままになりやすいので、各工程で研磨面の十分な観察や洗浄を行う必要がある。
それらを簡略化するため、様々な大小の砥粒を配合した1ステップポリッシャーも登場しているが、同時に近年のコンポジットレジンは、確定的な修復材として前歯部のみならず臼歯部にも適用できるよう、審美性だけでなく耐磨耗性などの物性向上も重視して技術改良が重ねられている。
その結果、たとえ同じ研磨剤を用いたとしても、製品ごとの研磨性は大きく異なる7)(図3)。すなわち、従来からのユニバーサルレジンやフロアブルレジンを問わず、製品によっては従来通り細かく丹念に研磨ステップを重ねた方が、1ステップポリッシャーを用いる場合よりも良好な研磨面が得られることもある。
![[写真] 同じ時間・同じプロトコールなどの条件下で研磨を行っても、コンポジットレジン製品によって得られる研磨性状は異なる](https://cdn01.dental-plaza.com/pdf/sites/2/2021/09/178-2_photo03.jpg)
図3 同じ時間・同じプロトコールなどの条件下で研磨を行っても、コンポジットレジン製品によって得られる研磨性状は異なる。
■エデンタの新しい研磨器材~トップグロス、コンポグロス、トップブラシの紹介
今回新発売されたエデンタ社の研磨材は、そういった近年の傾向を念頭に置いた製品構成となっている(図4~7)。
<トップグロス> 1ステップ、フロアブルレジン
トップグロスは、いわゆる1ステップ操作で簡単に研磨ができるポリッシャーである。主な研磨対象をフロアブルレジンとして、微細なダイヤモンド粒子を含有しているため、ポリッシングペーストを別途使用しなくても充填修復物表面の光沢が得られる(図8)。
<コンポグロス> 2ステップ、フロアブル・ユニバーサルレジン
コンポグロスは 2ステップポリッシャーで粒度の異なるダイヤモンド粒子を含有した製品であり、フロアブル・ユニバーサルいずれのコンポジットレジンにも使用できる。仕上げと艶出しの目的に沿って順番に充填修復物を研磨することで、ワンランクアップの滑沢性が得られる(図9)。
<トップブラシ> 1ステップ+α、フロアブルレジン
トップブラシは、 シリコンカーバイドでできた研磨粒子を含有したナイロンブラシだが、特にトップグロス(1ステップ)の使用後、光沢がもう少し欲しい時に有用である。
トップグロス、コンボグロスは、それぞれスモールポイント、ポイント、カップ、ホイールと様々な形態が用意されており、様々な表面形態に合わせて用いることができるが、特に今回推薦したいのはホイール形態である(図10、11)。これは柔軟性が高くて研磨対象に柔らかく接触するため、形態を温存しながら研磨できる。つまり臼歯咬合面のような複雑で多様な形態にも適用しやすく、用途が非常に豊富である。
![[写真] 上:コンポグロス(2ステップ)、下:トップグロス(1ステップ)、トップブラシ](https://cdn01.dental-plaza.com/pdf/sites/2/2021/09/178-2_photo04.jpg)
図4 上:コンポグロス(2ステップ)
下:トップグロス(1ステップ)、トップブラシ![[写真] 製品表面(200倍拡大)](https://cdn01.dental-plaza.com/pdf/sites/2/2021/09/178-2_photo05.jpg)
図5 製品表面(200倍拡大)
上:コンポグロス 仕上げ(左)、艶出し(右)
下:トップグロス(左)、トップブラシ(右)![[図] 製品別使用方法](https://cdn01.dental-plaza.com/pdf/sites/2/2021/09/178-2_photo06.png)
図6 製品別使用方法![[図] 研磨による表面性状の変化](https://cdn01.dental-plaza.com/pdf/sites/2/2021/09/178-2_photo07.jpg)
図7 研磨による表面性状の変化![[写真] 左:形態修正のみ/右:艶出し後](https://cdn01.dental-plaza.com/pdf/sites/2/2021/09/178-2_photo08.jpg)
図8 左:形態修正のみ/右:艶出し後
クリアフィルマジェスティESフロー(クラレノリタケデンタル)、トップグロス、トップブラシを使用。![[写真] 左:形態修正のみ/右:艶出し後](https://cdn01.dental-plaza.com/pdf/sites/2/2021/09/178-2_photo09.jpg)
図9 左:形態修正のみ/右:艶出し後
クリアフィルマジェスティES-2(クラレノリタケデンタル)、コンポグロスを使用。![[写真] スモールポイント、ポイント、カップ、ディスク](https://cdn01.dental-plaza.com/pdf/sites/2/2021/09/178-2_photo10.jpg)
図10 スモールポイント、ポイント、カップ、ディスク![[写真] ホイール形態](https://cdn01.dental-plaza.com/pdf/sites/2/2021/09/178-2_photo11.jpg)
図11 ホイール形態
■症例紹介
![[写真] 23歳男性、左上大臼歯部の甘味痛を主訴として来院。治療前。](https://cdn01.dental-plaza.com/pdf/sites/2/2021/09/178-2_photo12.jpg)
図12 23歳男性、左上大臼歯部の甘味痛を主訴として来院。治療前。![[写真] 局所麻酔、 ラバーダム防湿下で不良修復物およびう蝕除去](https://cdn01.dental-plaza.com/pdf/sites/2/2021/09/178-2_photo13.jpg)
図13 局所麻酔、ラバーダム防湿下で不良修復物およびう蝕除去。![[写真] エナメル質の選択的エッチング後、セルフエッチングプライマー処理、ボンディング材を塗布](https://cdn01.dental-plaza.com/pdf/sites/2/2021/09/178-2_photo14.jpg)
図14 エナメル質の選択的エッチング後、セルフエッチングプライマー処理、ボンディング材を塗布。Kエッチャントシリンジ、クリアフィル メガボンド2(クラレノリタケデンタル)を使用。![[写真] コンポジットレジン充填、賦形、光照射](https://cdn01.dental-plaza.com/pdf/sites/2/2021/09/178-2_photo15.jpg)
図15 コンポジットレジン充填、賦形、光照射。 クリアフィルマジェスティESフロー(クラレノリタケデンタル)High A3、Low A2、Super Low A1 を使用。![[写真] 光照射直後](https://cdn01.dental-plaza.com/pdf/sites/2/2021/09/178-2_photo16.jpg)
図16 光照射直後。一見滑沢ではあるが、表面には低重合層およびボンディング材飛沫が付着・硬化している。![[写真] 微粒子タイプのダイヤモンドポイントやカーバイドバーで形態修正、咬合調整](https://cdn01.dental-plaza.com/pdf/sites/2/2021/09/178-2_photo17.jpg)
図17 微粒子タイプのダイヤモンドポイントやカーバイドバーで形態修正、咬合調整。![[写真] トップグロス(ホイール)で咬合面を大まかに研磨していく](https://cdn01.dental-plaza.com/pdf/sites/2/2021/09/178-2_photo18.jpg)
図18 トップグロス(ホイール)で咬合面を大まかに研磨していく。![[写真] トップグロス(スモールポイント)で個々の斜面を微調整するよう研磨していく](https://cdn01.dental-plaza.com/pdf/sites/2/2021/09/178-2_photo19.jpg)
図19 トップグロス(スモールポイント)で個々の斜面を微調整するよう研磨していく。![[写真] トップブラシで追加研磨を行う](https://cdn01.dental-plaza.com/pdf/sites/2/2021/09/178-2_photo20.jpg)
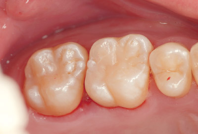
図20 トップブラシで追加研磨を行う。![[写真] 研磨後](https://cdn01.dental-plaza.com/pdf/sites/2/2021/09/178-2_photo21.jpg)
図21 研磨後。
■研磨は即日?後日? そしてメインテナンスについて
教科書的原則としては、コンポジットレジンの填塞・光照射直後は重合反応がしばらく継続(後重合)し、重合収縮に伴う応力が収縮物内部に潜在的に残存していることから、即日研磨は可及的に避けるべきとされている。すなわち24時間以上経過することで十分に重合硬化し、かつ口腔内での吸水によって収縮応力が緩和されてから研磨することで、接着界面が損なわれにくいと考えられている。
確かに、充填部辺縁を等高かつ平坦に即日仕上げられれば理想的ではあるが、高い集中力を要求される直接コンポジットレジン修復において、填塞が完了した時点で既に術者が疲労しているのは珍しいことではない。また近年のコンポジットレジンは非常に色調親和性に優れているので、この時点で直ちに研磨へ移行すると、不注意から歯質損傷を引き起こすおそれもある。
よって即日研磨にこだわりすぎず、翌日以降に改めて修復部を客観的に評価してから研磨を行うのも合理的ではないだろうか。
また、定期的なリコール(経過観察)によって修復部の状態をチェックしメインテナンスを行うことは重要である。その際に辺縁着色が認められることがあるが、その原因は接着の不備に伴う窩洞内への微少漏洩だけでなく、小さな段差への色素沈着や析出したコンポジットレジンと未切削歯質の間に生じた微少漏洩であることも多い。
この辺縁着色を目安とした再仕上げ・研磨(リファーヴィッシュメント)を行った方が、術者と患者の双方にとって色々な面で負担が少ない。もし軽度の着色や破損であれば、旧修復部の完全除去を伴わない補修修復での対応も可能である8)。
ただし修復前、過剰な切削回避に伴う辺縁着色の可能性と、リコールとメインテナンスの必要性、そして辺縁着色が発生した時点での再研磨について患者に説明し、予め了承を得ておく必要がある。
■最後に
直接コンポジットレジン修復の最大 の利点は、その臨機応変さにある。すなわちそれは、様々な大きさや形の窩洞に充填できるだけでなく、常にう蝕除去や歯質接着処理の段階から適切な処置を心がけていれば、経時的に修復部の破損等が生じても再研磨や補修修復で対応可能ということである。それは同時に、患者さんの生涯を通して歯の寿命を可及的に延命させることにもつながり、Minimal Interventionの観点からも今後ますます推奨、普及されていくべきである。
- 1) 宮地秀彦, コンポジットレジンの補修修復に関する研究. 日本歯科保存学雑誌 2006; 49(1): 108-119.
- 2) 黒川弘康ら, サーマルサイクリングがコンポジットレジンの研磨面性状に及ぼす影響. 日本歯科保存学雑誌, 2008; 51(3): 360-367.
- 3) 丸山慶四郎, 石川明子, コンポジットレジン仕上げ研磨表面の評価. 日本歯科保存学雑誌2011; 54(1): 48-60.
- 4) 松村明, 大辞林 第三版; 三省堂: 2006.
- 5) 田上順次ら, 保存修復学21; 永末書店:2017.
- 6) 宮崎真至ら, コンポジットレジン修復の効率UP; 医歯薬出版: 2020.
- 7) 原健一郎ら, フロアブルコンポジットレジンの着色性. 神奈川歯学 2015; 50(1):9-19.
- 8) 田上順次ら, 歯界展望別冊 コンポジットレジンによる最新MI修復; 医歯薬出版: 2019.
目 次
モリタ友の会会員限定記事
- Clinical Report 2級コンポジットレジン修復の成功に繋がる6つの心掛け-前編-
- Clinical Report コンポジットレジン研磨の臨床的意義と新しい器材を用いた効率的な研磨方法
- Contribution 歯周治療へのCBCTの応用
- Clinical Report 歯周病治療におけるEr:YAGレーザーの臨床的有用性
- Clinical Report マニー新型根管探索用ファイル「グライドファインダー」の特徴と臨床応用
- Interview スタッフの「困りごと」は効率化のヒント!受付の会計業務を自動化し、働きやすい職場に
- Clinical Hint 口腔機能管理のための“理学療法活用”マニュアル -3-“舌”や“口腔周囲筋”の機能管理に必要な筋生理知識そして賦活マッサージの実際
- Field Report ステインやプラークの付着が目立つ患者さんに合わせたセルフケア製品の提案例
- Field Report 楽しみながら行うガムトレーニングで口腔機能発達不全症の改善に期待
- Column 患者さんファーストの予防歯科講座 ~いつも同じ口腔衛生指導をしていませんか?~第3回:セルフケアアイテムの具体的な活用法
- Close Up 「前歯でも噛める入れ歯研究会」が提唱「自立支援歯科学」に基づく本来の義歯のあり方
- Contribution 【CT発売20周年記念 特別寄稿】歯冠長延長術の術前診査としてCBCTを用いた一症例
- Contribution 【CT発売20周年記念 特別寄稿】根分岐病変に対する歯周組織再生療法におけるCBCTの有効活用
- Clinical Report ステージドアプローチでTi ハニカムメンブレンを適用しSPIガイディッドサージェリーでイニセルインプラントを埋入した症例報告
- Case Report ISQ測定装置「オステルビーコン」の有意性とその臨床
- Case Report GBRにおけるTi ハニカムメンブレンの有用性
他の記事を探す
モリタ友の会
セミナー情報
会員登録した方のみ、
限定コンテンツ・サービスが無料で利用可能
オンラインカタログでの製品の価格チェックやすべての記事の閲覧、臨床や経営に役立つメールマガジンを受け取ることができます。
商品のモニター参加や、新製品・優良品のご提供、セミナー優待割引のある、もっとお得な有料会員サービスもあります。