179号 WINTER 目次を見る
現在、インプラント埋入計画時に骨のボリュームを診査診断するためにCBCTは必要不可欠な機器になってきている。
特にインプラントを審美領域に埋入する際は、理想的な位置に設置することが審美的な結果を得るためには大変重要である。
またインプラント治療後のインプラント周囲組織のボリュームが長期審美性に影響することから術後のCBCT撮影も予後を推測するには有効であると思われる。
審美領域にインプラントを埋入する際には理想とする補綴物形態を反映したCBCTの頰―口蓋側方向の断面が必要となる。その直下にインプラントを設置するように診査を行い、インプラントおよびプラットフォームの直径、長さ、骨造成の必要性の有無を決定する必要がある。
また最終補綴物を装着した際には、インプラント周囲組織のベースラインの情報としてCBCTは有効である。
審美性を長期間、維持するためには術後の評価を継続的に行い、インプラント周囲の軟硬組織のボリュームを調べることが重要である。同時にインプラント周囲疾患の有無を調べることと、その疾患を治療し健康状態を維持し続けることが重要である。
通常軟組織のボリュームをCBCTにて明確に把握することは困難であると思われるが、チューリッヒ大学では以下の手法でインプラント周囲組織のボリュームを計測している。
インプラント修復物周囲にフロアブルレジンを塗布し、任意の位置までコーティングする。光照射を行い、フロアブルレジンを硬化させる。患者には同部を触らないようにしてもらい、
3DX multi image micro CTを用いてCBCT撮影を行う。
撮影後は硬化したレジンを取り除き、インプラントのサルカス内におけるレジン残渣を注意深く除去しなければならない。
CBCT画像ではインプラント周囲粘膜上にはX線不透過像が確認でき、インプラントの歯頸部付近の軟組織のボリュームを計測することができる。
インプラント周囲の粘膜の厚みが2mm以上あればインプラントボディ色を透過させずにディスカラレーションを防ぐことができると報告されており、2mm以下であれば審美性を回復させるために結合組織移植の適応になる可能性がある。
また水平断においても同様に軟硬組織のボリュームを評価することができる。
インプラントの管理を行う上でCBCTにより審美性維持のための評価を行うことで更なる情報を得て、それに対する対応を行うことが重要である。
また当然ながらCBCTによる患者への被ばくも考慮し、適切にCBCT撮影を行うように考慮しなければならない。
-
![[写真] 左側中切歯欠損の口腔内写真](/academic/dentalmagazine/wp-content/uploads/sites/2/2021/12/179-16_photo01.jpg)
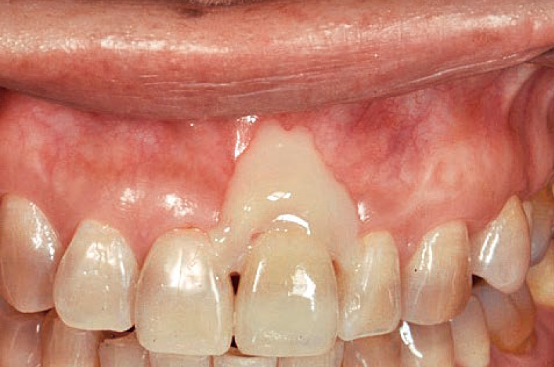
図1 左側中切歯欠損の口腔内写真。審美性を重視しなければならない症例で慎重な術前診査が必要である。 -
![[写真] X線診断用ガイドを装着した状態でのCBCT所見](/academic/dentalmagazine/wp-content/uploads/sites/2/2021/12/179-16_photo02.jpg)
図2 X線診断用ガイドを装着した状態でのCBCT所見。理想とする補綴位置直下にはインプラントを埋入するために十分な初期固定を維持できる骨量が存在するが、審美性を維持するための唇側の骨量は不足している。 -
![[写真] インプラントを埋入し最終補綴物を装着した口腔内所見](/academic/dentalmagazine/wp-content/uploads/sites/2/2021/12/179-16_photo03.jpg)
図3 インプラントを埋入し最終補綴物を装着した口腔内所見。GBRを行いインプラント唇側には十分に骨量を獲得した状態である。この状態を長期間維持するために定期的なメインテナンスによるインプラント周囲組織の健康状態の管理と軟硬組織のボリュームの変化を計測する必要がある。 -
![[写真] フロアブルレジンをインプラント上部構造に沿って塗布していく](/academic/dentalmagazine/wp-content/uploads/sites/2/2021/12/179-16_photo04.jpg)
図4 フロアブルレジンをインプラント上部構造に沿って塗布していく。 -
![[写真] インプラントの埋入部位に相当するようにレジンを塗布し、軟組織計測部位を拡大してい](/academic/dentalmagazine/wp-content/uploads/sites/2/2021/12/179-16_photo05.jpg)
図5 インプラントの埋入部位に相当するようにレジンを塗布し、軟組織計測部位を拡大していく。 -
![[写真] 光照射を行いレジンを硬化させる](/academic/dentalmagazine/wp-content/uploads/sites/2/2021/12/179-16_photo06.jpg)
図6 光照射を行いレジンを硬化させる。この状態で同部のCBCT撮影を行う。 ![[写真] 撮影終了後にはレジンを除去する](/academic/dentalmagazine/wp-content/uploads/sites/2/2021/12/179-16_photo07.jpg)
図7 撮影終了後にはレジンを除去する。![[写真] 除去したレジン](/academic/dentalmagazine/wp-content/uploads/sites/2/2021/12/179-16_photo08.jpg)
図8 除去したレジン。-
![[写真] インプラントサルカス内にレジンの残渣がないように注意深く調べる](/academic/dentalmagazine/wp-content/uploads/sites/2/2021/12/179-16_photo09.jpg)
図9 インプラントサルカス内にレジンの残渣がないように注意深く調べる。残渣があればインプラント周囲炎への進行する恐れがある。 -
![[写真] レジン付与した状態で撮影したCBCT画像](/academic/dentalmagazine/wp-content/uploads/sites/2/2021/12/179-16_photo10.jpg)
図10 レジン付与した状態で撮影したCBCT画像。 -
![[写真] 唇- 口蓋方向のCBCT断面](/academic/dentalmagazine/wp-content/uploads/sites/2/2021/12/179-16_photo11.jpg)
図11 唇- 口蓋方向のCBCT断面。この場合、インプラント連結部の唇側には1.77mmの骨の水平的なボリューム、 2.68mmの軟組織の水平的なボリュームが維持されている。 -
![[写真] 水平断のCBCT所見](/academic/dentalmagazine/wp-content/uploads/sites/2/2021/12/179-16_photo12.jpg)
図12 水平断のCBCT所見。インプラントショルダー付近の軟組織の形態も天然歯部と類似した豊隆が認められ、良好な審美性を維持している。
目 次
モリタ友の会会員限定記事
- Contribution CT発売20周年記念特別寄稿 CBCTを用いたインプラント周囲組織の評価方法について
- Case Report 審美領域のインプラント治療にTi ハニカムメンブレンを応用した症例報告
- Contribution 【CT発売20周年記念 特別寄稿】インプラント治療におけるCBCTの有用性と未来
- Clinical Report 歯周病患者におけるEr:YAGレーザーの日常臨床への導入 SPTを通じた歯科衛生士との連携
- Close Up 歯科衛生士を目指す『令和時代の学生さん事情』 学生の皆さん、先生に伺いました!
- Clinical Report スーパーテーパード毛(Systema)タイプのワンタフトブラシの臨床活用 -「DENT.EX onetuft Systema Short」の導入-
- Close Up 未来を担う子どもの健やかな成長をサポートする0歳からの健口教育
- Field Report 口腔内のリスク分析結果を活かし歯磨きの重要性を伝え、予防意識を高める
- My Recommendation 鼻呼吸の浄化フィルター作用に着目! 鼻うがいの必要性を地域で啓発
- Dental Talk 【特別鼎談】開業前に知っておきたい 予防歯科を成功に導くクリニックデザインとは
- Field Report 要介護高齢者の口腔ケア 効率的に磨ける音波式電動歯ブラシを活用
- Close Up 大規模追跡調査から知る歯の健康と認知症との関係性
- Contribution 【CT発売20周年記念 特別寄稿】下顎臼歯部垂直的GBRにおけるCBCTの有効性
- Clinical Report 2級コンポジットレジン修復の成功に繋がる6つの心掛け-後編-
- Clinical Report 経歯槽頂上顎洞挙上手術における超親水性INICELL®の有用性について-Hatch ReamerとTM Sinus Lift Kitを使用して-
- Case Report 上顎犬歯部にTi ハニカムメンブレンを応用した2症例
他の記事を探す
モリタ友の会
セミナー情報
会員登録した方のみ、
限定コンテンツ・サービスが無料で利用可能
オンラインカタログでの製品の価格チェックやすべての記事の閲覧、臨床や経営に役立つメールマガジンを受け取ることができます。
商品のモニター参加や、新製品・優良品のご提供、セミナー優待割引のある、もっとお得な有料会員サービスもあります。