196号 SPRING 目次を見る
-
![[写真] 岡山市中区 岡山医療生活協同組合 コープ倉田歯科 歯科衛生士 士長 藤井 直子](/academic/dentalmagazine/wp-content/uploads/sites/2/2026/04//196-11_staff01.jpg)
岡山市中区
岡山医療生活協同組合 コープ倉田歯科
歯科衛生士 士長
藤井 直子
当院の開設は2016年と比較的新しいクリニックですが、関連する病院歯科の頃からの長いお付き合いの患者さんもたくさんいらっしゃいます。高齢の方も多いので、デジタル機器を活用しながら、とにかく視覚的にわかりやすくご説明していくことを大切にしています。また、最後までご自身の歯で食べていただくためにも、その方に合わせた口腔衛生指導を行うことが大事だと考えています。デジタル機器を使うことで、私たちも手間をかけることなく簡単に、しかもわかりやすく現在の口腔内の状況や治療内容をお見せでき、患者さんの理解が深まることがいちばんのメリットだと感じています。ただし、デジタル機器一辺倒にはならないで、気持ちのこもった話し方や説明を行う大切さも忘れずに、日々患者さんと向き合っていきたいと思っています。
症例の患者さんは、初診時74歳の男性です(図1, 2)。この時は、別の一眼レフカメラで撮影していますが、現在は初診時の5枚法写真は全て歯科衛生士が「ルナビューショット」で撮影しています。一眼レフカメラは女性にとっては少し重たいですし、ミラーを持ちながら片手で撮影するには、ある程度の技術が必要です。また、患者さんにお見せするためパソコンにインポートする際にも一手間が必要です。「ルナビューショット」はとにかく簡単、手軽に撮影でき、「TrinityCore Pro」と連携して、ミラーモードも気にせず自動配置してくれます。オペの様子もアシストする歯科衛生士が随時撮影して、オペ後に患者さんにお見せしながら処置内容を説明しています。
症例の患者さんは、奥様の介護があり毎日忙しくされていることもあってか、とにかくプラークコントロールが不良で、改善の兆しが見えませんでした。初診から6年が経過し、その間補綴治療を行ってきましたが、相変わらず磨き残しは目立っていました(図3)。そのため、染め出し後に「PrimescanConnect」でスキャンしたデータをお見せしたところ、「こんなにも磨き残しがあるとは思ってなかった」と、とても驚かれ、それ以降セルフケアの意識が向上し、磨き残しは大幅に減少しました(図4~6)。
![[写真] 診療室のモニター](/academic/dentalmagazine/wp-content/uploads/sites/2/2026/04//196-11_photo13.jpg)
各診療室のモニターをデジタルサイネージとして活用。「ソニッケアー」などのセルフケア製品の案内や医院SNSの案内などを表示している。
自宅では、以前から電動歯ブラシを使用されていましたが、次の来院時に、「ソニッケアー 6100 プロフェッショナル」(以下:ソニッケアー 6100)をご紹介したところ、「パワーがあってとても良い」と気に入られて、その場で購入されました(図7~9)。私も以前から「ソニッケアー」を使用していましたが、「ソニッケアー 6100」は、従来よりコンパクトで軽量になり、とても持ちやすくなりました。パワーがあるわりに、振動がマイルドで飛散が少なくなったとも感じます。また、従来は臼歯の頰側部にブラシを入れた際に頰粘膜に圧迫されると、少しパワーが落ちる感覚がありましたが、「ソニッケアー6100」では、それも気にならなくなりました。この患者さんには替ブラシに「プレミアムオールインワンブラシ」を選択。購入後にブラシの当て方や動かし方を丁寧に指導し、毎日ご自宅で使用していただいています。
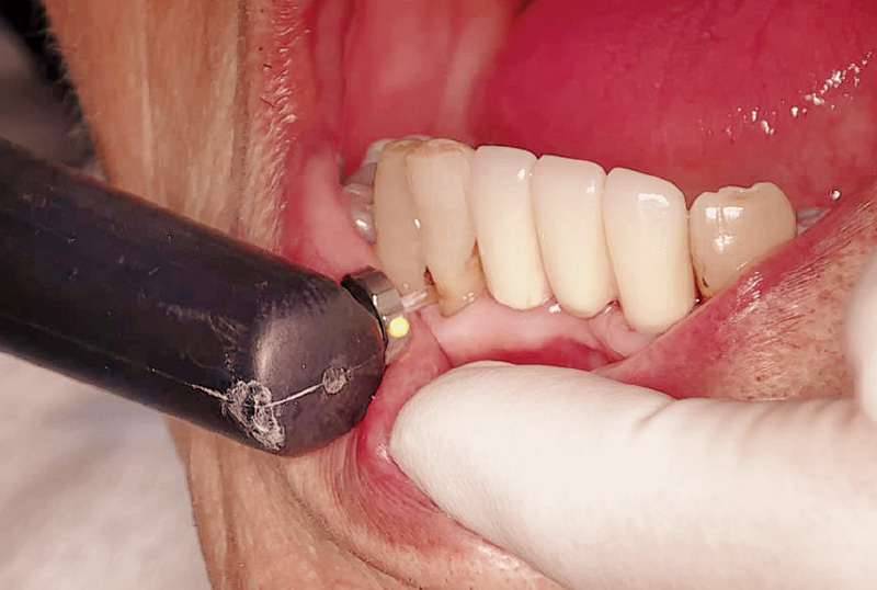
プロフェッショナルケア(図10)を終えると、最後に「ダイアグノデント ペン」を使って、う蝕の有無や初期う蝕の進行度合いをチェックします(図11)。当院では、初期う蝕を早期に発見し、適切なタイミングで介入できるよう、「ダイアグノデント ペン」の検査結果をチェックシートに記入し、管理しています。数値で客観的にお見せすることで、患者さんのモチベーションアップや継続管理に大いに役立っていると感じています(図12)。
今後は、こうしたデジタル機器をただ「使う」だけではなく、チーム全体で「活用」し、患者さんにとって意味のある歯科医療を提供できるよう、引き続き取り組んでいきたいと考えています。
-
![[写真] 初診時74歳男性](/academic/dentalmagazine/wp-content/uploads/sites/2/2026/04//196-11_photo01.jpg)
図1 初診時74歳男性。₆の脱離を主訴に来院された。歯を残すことを希望され、前歯部はブリッジ、臼歯部には義歯治療を行った。(一眼レフカメラにて撮影) -
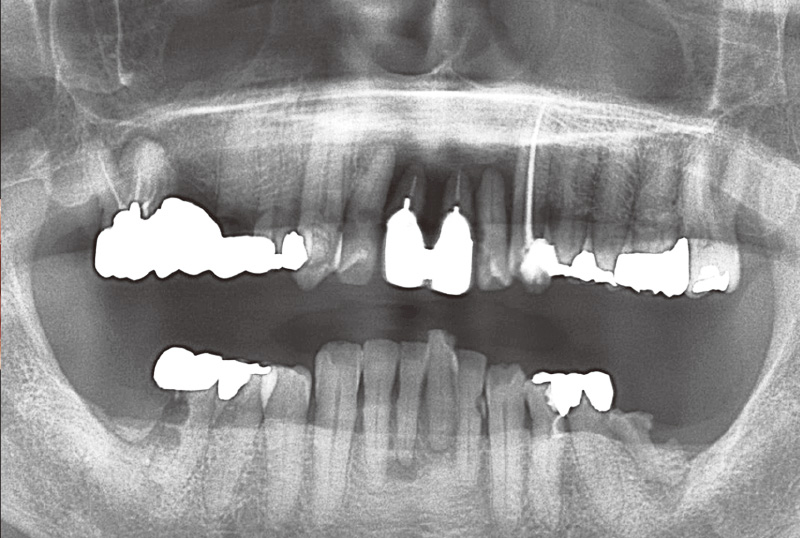
![[写真] 初診時のパノラマX線画像](/academic/dentalmagazine/wp-content/uploads/sites/2/2026/04//196-11_photo02.jpg)
図2 初診時のパノラマX線画像 -
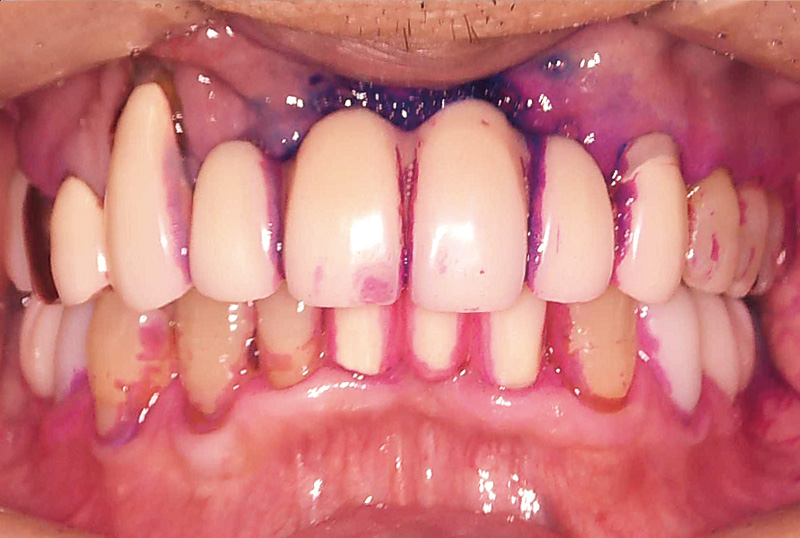
![[写真] 初診から6年後の染め出し写真](/academic/dentalmagazine/wp-content/uploads/sites/2/2026/04//196-11_photo03.jpg)
図3 その後下顎に2本(₆ ₆)、上顎に1本(₆)のインプラントを埋入。写真は初診から6年後の染め出し写真。プラークコントロールが不良で、常に磨き残しが見られた。 -
![[写真] 初診から6年後](/academic/dentalmagazine/wp-content/uploads/sites/2/2026/04//196-11_photo04.jpg)
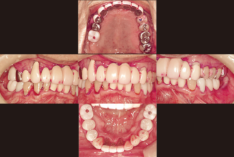
図4 初診から6年後。染め出し後に「PrimescanConnect」によるデジタルスキャンデータをお見せすると、残存プラークの多さに大変驚かれた。 -
![[写真] 図4から1か月半後に再度染め出しを行ったところ](/academic/dentalmagazine/wp-content/uploads/sites/2/2026/04//196-11_photo05.jpg)
図5 図4から1か月半後に再度染め出しを行ったところ、ポンティック部分の歯頸部を中心に磨き残しが見られた。 -
![[写真] デジタルスキャンから約2か月半後の口腔内の状態](/academic/dentalmagazine/wp-content/uploads/sites/2/2026/04//196-11_photo06.jpg)
図6 デジタルスキャンから約2か月半後の口腔内の状態。 -
![[写真] ソニッケアー 6100で歯磨きをする様子](/academic/dentalmagazine/wp-content/uploads/sites/2/2026/04//196-11_photo07.jpg)
図7 「ソニッケアー 6100」をお勧めし、実際に磨き方を指導した。 -
![[写真] 「プレミアムオールインワンブラシ」を使用し歯磨きをする様子](/academic/dentalmagazine/wp-content/uploads/sites/2/2026/04//196-11_photo08.jpg)
図8 高いプラーク除去力が期待できる「プレミアムオールインワンブラシ」を使用し、磨き残しが目立つ部分を重点的に磨いていく。 -
![[写真] 「ソニッケアー」によるブラッシング指導の様子](/academic/dentalmagazine/wp-content/uploads/sites/2/2026/04//196-11_photo09.jpg)
図9 「ソニッケアー」によるブラッシング指導の様子も「ルナビューショット」で撮影している。 -
![[写真] フロスと歯間ブラシを用いた清掃](/academic/dentalmagazine/wp-content/uploads/sites/2/2026/04//196-11_photo10.jpg)
図10 ご自身ではフロスや歯間ブラシをうまく使えないとのことで、来院時にプロフェッショナルケアの一環として、フロスと歯間ブラシを用いた清掃を行っている。 -
![[写真] 「ダイアグノデント ペン」を用いた測定](/academic/dentalmagazine/wp-content/uploads/sites/2/2026/04//196-11_photo11.jpg)
図11 プロフェッショナルケア後に「ダイアグノデント ペン」を用いて、測定を行う。 -
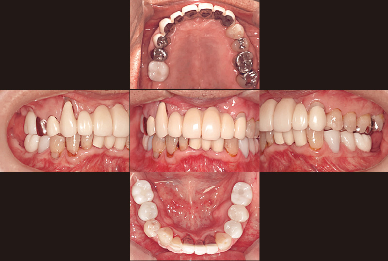
![[写真] 図4から3か月経過後の状態](/academic/dentalmagazine/wp-content/uploads/sites/2/2026/04//196-11_photo12.jpg)
図12 図4から3か月経過後の状態。「ソニッケアー」を継続して使用され、プラークが減り歯肉の腫脹なども改善していることがわかる。
目 次
モリタ友の会会員限定記事
- Dental Talk 「Er:YAGレーザー」臨床応用の最前線~東京科学大学におけるEr:YAGレーザー活用法~
- Clinical Report インプラント周囲炎・インプラント再GBR・インプラントデブライドメントに有効なEr:YAGレーザー「 アドベール SH」
- Interview SPI World Symposiumを10年ぶりに開催 世界レベルのインプラント治療を国内で体感できる絶好の機会です
- Technical Report Superimpose Module「DUPY」を用いたこれからのインプラント補綴
- Dental Talk 歯科医師・歯科技工士連携 お互いを尊重し、信頼し合える関係を築くために必要なものとは
- Clinical Report 新世代の多機能レジン充填材料の臨床応用「ボンドフィルSB®Ⅱ」の効果的な臨床応用
- Field Report ブラケット矯正治療におけるセルフケアの重要性
- Clinical Report オラプラ液体包帯口腔用の臨床応用
- Field Report 一般開業医による矯正治療の新常識 アライナー矯正で広がる補綴治療
- Interview 「“量から質”の向上へ」デジタル機器の活用により業務効率化と患者満足を両立
- Field Report 患者さんの口腔への意識を変えるデジタル機器を活用した口腔衛生指導
- Field Report 新型ソニッケアーで補綴治療を支えるセルフケアを実践
- Dental Talk 積年の課題だったIPスキャナーの自社開発をついに実現「Veraview iP」開発の背景とその独自性
- Clinical Report 「口腔機能発達不全症」とは何か~「上手に噛めない・食べられない・呼吸できない」子どもたちの新しい健康課題と向き合う~
- Lecture 連載:歯科衛生士に必要とされる医科の知識<第3回>血液検査データ(2)
- Topics 歯科医療従事者として知っておきたい排泄・排便の基礎知識
- Dental Talk 大阪大学歯学部附属病院とモリタグループによる共同研究の現状「myDentalAI」で変わる歯科医療の未来
- Interview 開業・改装を目指す先生方へのヒントに(1) 院内システム構築の際に最優先で取り組むべきポイントとは
- Close Up 「最後まで口から食べることを日本一支援する病院」を目指して
他の記事を探す
モリタ友の会
セミナー情報
会員登録した方のみ、
限定コンテンツ・サービスが無料で利用可能
オンラインカタログでの製品の価格チェックやすべての記事の閲覧、臨床や経営に役立つメールマガジンを受け取ることができます。
商品のモニター参加や、新製品・優良品のご提供、セミナー優待割引のある、もっとお得な有料会員サービスもあります。