196号 SPRING 目次を見る
-
![[写真] 京都市左京区 ながお歯科クリニック 院長 長尾 龍典](/academic/dentalmagazine/wp-content/uploads/sites/2/2026/04//196-9_staff01.jpg)
京都市左京区
ながお歯科クリニック
院長 長尾 龍典
当院では、患者さんにとって「最後の歯科医」になることを目指し、終末期までを見据えた“一生涯に寄り添う姿勢”で治療に臨むことを信条としています。
治療については、常にできる限りシンプルであることを心がけています。噛めない患者さんには、まず義歯で咀嚼機能を回復させ、QOLの改善を図り、その上で必要に応じてインプラント治療を提案することもあります。インプラントの長期安定にはアーチ(歯列弓)を整えることが重要であり、そのために矯正治療を必要とする場合があります。私は勤務医時代にインプラント専門のクリニックで経験を積んだことから、当院の開院当初はインプラント治療が中心でした。しかし、ちょうどその頃アライナー矯正の黎明期であり、「アライナー矯正なら」と受け入れてくださる患者さんも増えてきました。そのような背景から、矯正治療から補綴治療までを自院で完結できる体制を整えることにも注力してきました。
もともとデジタルデンティストリーには強い関心を持っていたので、2016年に「CEREC」を導入し、その後口腔内スキャナー「iTero」や3Dプリンター、続いて「インビザライン Go」(以下、i Go)も導入しました。ただ、こうしたデジタル機器は、当然ながら自分が持つ技術以上の効果は期待できません。良い治療を具現化するサポートとなる一方、未熟な技術もそのまま可視化されます。その現実をしっかりと受け止め、自分がどう成長したいかを明確にした上で、練習と経験を重ねることが大切です。
「iTero」を導入した最大のメリットは、“模型レス”を実現できたことです。これまで保管してきた模型もすべて「iTero」でスキャンしてデジタルデータ化し、必要に応じて3Dプリンターで出力する方法にアップデートしたため、模型の保管スペースが不要になりました。また、スキャンデータを歯科技工士と共有することで、視覚的に示すことができるため、歯科技工士との連携におけるコミュニケーションツールとしても役立っています。
歯の位置に問題がある場合は矯正治療、形態に問題がある場合は補綴治療が基本になりますが、咬合の安定にはそれらの連携が不可欠です。その際に「iTero」のスキャンデータを活用すれば、患者さんの口腔内を正確に捉えてCR(中心位)に咬み合わせを構築することができます。その結果、歯や顎骨に余分な応力がかからなくなり、長期的に良好な予後を実現することができます。また、治療後のセルフケアが行いやすい口腔環境を維持する視点からも、矯正治療と補綴治療を組み合わせた治療は有効です。今回提示した症例はそうした治療の一例です。
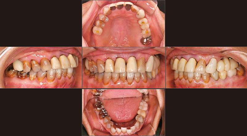
症例の患者さんは「奥歯でものが噛めない」という主訴で初めて来院されました(図1)。義歯治療を行い、いったんは噛めるようになりましたが、噛める位置だけで噛み続けていたためか、徐々に義歯が不安定になり、5年後に再び来院されました(図2, 3)。そこで、義歯を撤去し、インプラント治療に加えて、第一大臼歯まで矯正可能な「iGo Plus」による矯正治療を提案しました。最初に「iGo Plus」のクリンチェック治療計画を行い、矯正治療後の位置を考慮し、インプラント治療の埋入計画を立て、双方の診断画像を照らし合わせ、最終的なインプラント埋入位置を決定しました。計画した位置にインプラントを埋入し(図4)、プロビジョナルを装着しました。その後「iGo Plus」によるクリンチェック治療計画を再度行った後(図5, 6)矯正治療を開始し(図7)、当初の計画通りに矯正治療を完了しました(図8)。ここまでしておけば、噛めなくなる事態は回避できるでしょう。私たちの役目は、咬合状態を回復し、噛める状況まで持っていくことです。その後、審美性を求めて治療を続けていくかは患者さんの判断に委ねます。症例の患者さんの場合は、これから前歯の審美治療を行う方向で相談中です。
今後は、国内でも矯正治療によって整えられたアーチを前提とした抜歯即時インプラントなどの適応が増加し、「iTero」や「iGo」の有用性はより高まっていくでしょう。また近い将来、AI診断をもとに「必要な治療が適切かつ正確に行えるか」が問われる時代になり、それに対応できる知識と技術を持つことが必要になります。そのため一般開業医は、これまで以上に知識と技術を高める努力が必要になると感じています。加えて、今後は治療経過をデジタルデータとして保存することが当然の時代になるでしょう。そこで蓄積されたデータは、治療の振り返りや治療方針の見直し、次世代への引き継ぎなど、今後の歯科医療に欠かせない要素になることは、ほぼ間違いありません。私もその流れに合わせて、引き続き知識と技術のアップデートを行っていきたいと考えています。
-
![[写真] 初診時 60代女性](/academic/dentalmagazine/wp-content/uploads/sites/2/2026/04//196-9_photo01.jpg)
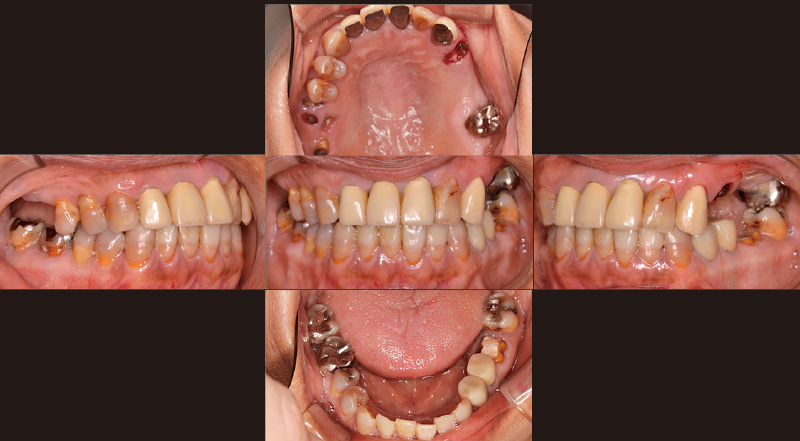
図1 初診時。60代女性。2019年9月、「奥歯でものが噛めない」という主訴で当院を来院。義歯治療によって咀嚼機能の回復を図った。 -
![[写真] 再診時のパノラマX線画像](/academic/dentalmagazine/wp-content/uploads/sites/2/2026/04//196-9_photo02.jpg)
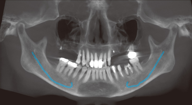
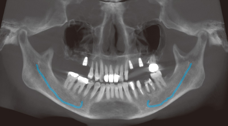
図2 再診時のパノラマX線画像。上顎に多数歯欠損が認められる。 -
![[写真] 2024年2月再診時](/academic/dentalmagazine/wp-content/uploads/sites/2/2026/04//196-9_photo03.jpg)
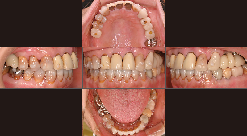
図3 2024年2月再診時。趣味であるスキューバーダイビングを行う際、義歯が安定せず、マウスピースがうまく噛めないとのことで、再治療を希望された。 -
![[写真] インプラント埋入後の状態](/academic/dentalmagazine/wp-content/uploads/sites/2/2026/04//196-9_photo04.jpg)
図4 インプラント埋入後の状態 -
![[写真] インプラント埋入後に計画した、クリンチェック治療計画の矯正治療前画像](/academic/dentalmagazine/wp-content/uploads/sites/2/2026/04//196-9_photo05.jpg)
図5 インプラント埋入後に計画した、クリンチェック治療計画の矯正治療前画像。この症例では、第一大臼歯まで矯正可能な「iGo Plus」を選択。 -
![[写真] 「iGo Plus」クリンチェック治療計画の、矯正治療後のシミュレーション画像](/academic/dentalmagazine/wp-content/uploads/sites/2/2026/04//196-9_photo06.jpg)
図6 「iGo Plus」クリンチェック治療計画の、矯正治療後のシミュレーション画像。 -
![[写真] 2024年10月](/academic/dentalmagazine/wp-content/uploads/sites/2/2026/04//196-9_photo07.jpg)
図7 2024年10月、患者さんの同意を得て、「iGo Plus」による矯正治療をスタート。 -
![[写真] 2025年5月](/academic/dentalmagazine/wp-content/uploads/sites/2/2026/04//196-9_photo08.jpg)
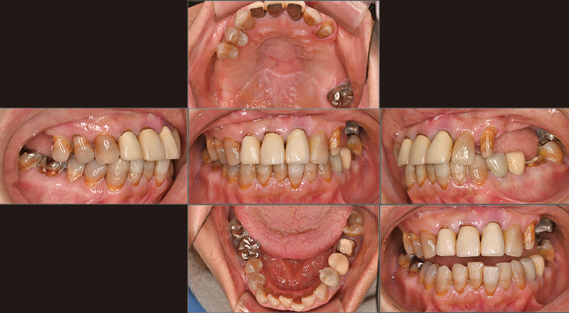
図8 2025年5月、歯列が整い、噛める状態になったことで、当院が考えるシンプルな治療は終了。図6と比較し、当初の計画通りに治療が進んだことがわかる。
目 次
モリタ友の会会員限定記事
- Dental Talk 「Er:YAGレーザー」臨床応用の最前線~東京科学大学におけるEr:YAGレーザー活用法~
- Clinical Report インプラント周囲炎・インプラント再GBR・インプラントデブライドメントに有効なEr:YAGレーザー「 アドベール SH」
- Interview SPI World Symposiumを10年ぶりに開催 世界レベルのインプラント治療を国内で体感できる絶好の機会です
- Technical Report Superimpose Module「DUPY」を用いたこれからのインプラント補綴
- Dental Talk 歯科医師・歯科技工士連携 お互いを尊重し、信頼し合える関係を築くために必要なものとは
- Clinical Report 新世代の多機能レジン充填材料の臨床応用「ボンドフィルSB®Ⅱ」の効果的な臨床応用
- Field Report ブラケット矯正治療におけるセルフケアの重要性
- Clinical Report オラプラ液体包帯口腔用の臨床応用
- Field Report 一般開業医による矯正治療の新常識 アライナー矯正で広がる補綴治療
- Interview 「“量から質”の向上へ」デジタル機器の活用により業務効率化と患者満足を両立
- Field Report 患者さんの口腔への意識を変えるデジタル機器を活用した口腔衛生指導
- Field Report 新型ソニッケアーで補綴治療を支えるセルフケアを実践
- Dental Talk 積年の課題だったIPスキャナーの自社開発をついに実現「Veraview iP」開発の背景とその独自性
- Clinical Report 「口腔機能発達不全症」とは何か~「上手に噛めない・食べられない・呼吸できない」子どもたちの新しい健康課題と向き合う~
- Lecture 連載:歯科衛生士に必要とされる医科の知識<第3回>血液検査データ(2)
- Topics 歯科医療従事者として知っておきたい排泄・排便の基礎知識
- Dental Talk 大阪大学歯学部附属病院とモリタグループによる共同研究の現状「myDentalAI」で変わる歯科医療の未来
- Interview 開業・改装を目指す先生方へのヒントに(1) 院内システム構築の際に最優先で取り組むべきポイントとは
- Close Up 「最後まで口から食べることを日本一支援する病院」を目指して
他の記事を探す
モリタ友の会
セミナー情報
会員登録した方のみ、
限定コンテンツ・サービスが無料で利用可能
オンラインカタログでの製品の価格チェックやすべての記事の閲覧、臨床や経営に役立つメールマガジンを受け取ることができます。
商品のモニター参加や、新製品・優良品のご提供、セミナー優待割引のある、もっとお得な有料会員サービスもあります。