196号 SPRING 目次を見る
■目 次
- ≫ 症例解説(症例1)
- ≫ セルフケア指導の最適解
- ≫ 症例解説
- ≫ 「ソニッケアー6100」の使用感
大阪市中央区
医療法人 タニオ歯科クリニック
-
![[写真] 院長 谷尾 和正](/academic/dentalmagazine/wp-content/uploads/sites/2/2026/04//196-12_staff01.jpg)
院長
谷尾 和正 -
![[写真] 歯科衛生士 丸山 葉子](/academic/dentalmagazine/wp-content/uploads/sites/2/2026/04//196-12_staff02.jpg)
歯科衛生士
丸山 葉子
<谷尾和正 院長>
補綴治療を行う際には長期安定性を考慮し、全顎的な視点で治療方針を決定しています。ただ、どれだけ質の高い補綴装置を入れても、それを永続させるためには予防が重要で、その方法は補綴装置の種類によって異なります。当院では、予防管理は基本的に歯科衛生士に任せていますが、常に連携を取りながら問題点を共有し、状態を少しでも良い方向へ導くよう心がけています。長く通い続けていただける歯科医院になるためには、治療の質だけでなく、患者さんと担当する歯科衛生士の信頼関係も大切です。
■症例解説(症例1)
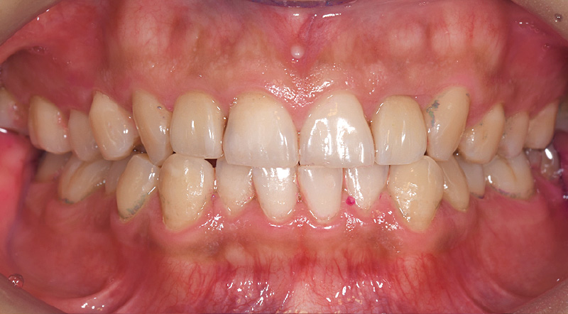
初診時より、歯周病の進行や根面う蝕が認められましたが、本人が治療を望まず、介入ができませんでした。しかし、2019年に歯周病が進行したことで本人もいよいよ自覚され、治療を承諾。₄, ₆に即時荷重によるインプラント埋入を行いました。この治療をきっかけに本人の覚悟が決まり、全顎的な治療に進むことができました。
こうしたフルマウスの症例の場合、補綴装置の精度を高めることが重要です。この患者さんは顎位に大きな乱れがないため、機能回復を急ぐべきだと判断し、デジタル技術を活用した治療を選択しました。最終的に調整の頻度が少なく精度の高い補綴装置の製作に注力しました。補綴治療計画の際に、特に意識しているのが歯頸ラインの形態と清掃性です。この症例ではプロビジョナルレストレーションの装着期間中、担当歯科衛生士が歯間ブラシが通るか、磨きにくい箇所はないかなどを細かく確認し、そのフィードバックをもとに歯科技工士と設計の修正を重ねました。見た目に美しく、機能的にも優れた補綴装置を作製するためにはこうしたプロセスが重要なのです。
<丸山葉子 歯科衛生士>
■セルフケア指導の最適解
患者さんの性格や生活背景、技術レベル、う蝕や歯周病のリスクに合わせて無理なく続けられる方法やアイテムを提案しています。手磨きで100%の口腔ケアを目指すのは難しいことですから、ソニッケアーのような結果が出やすいアイテムを取り入れることは、患者さんのためにも必要だと思っています。常に意識しているのは、患者さんの状況を見極め、全ての患者さんにPCR 0%を求めないこと。リスクが低い方なら、なおさらです。しかし、歯周病が進行している方にはしっかりと粘り強く指導する、というようにこちらも意識を変えながら対応しています。
■症例解説
●症例1:50代男性
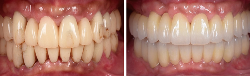
月に一度来院し、プロフェッショナルケアを継続されていました。セルフケアについては、どれだけ指導しても手磨きではモチベーションが上がらず磨き残しが多い状態で、1日40本の喫煙による着色も見られました。そんな中、インプラント治療後にインプラント周囲炎のリスクが高まり、セルフケアが不可欠になったことから、「ソニッケアー6100プロフェッショナル」(以下:ソニッケアー6100)の導入を提案。「歯磨きが楽になる」という利点を伝えながら使い方を指導したところ、思いのほか前向きに受け入れてくださり、導入後2週間でプラークや着色が大幅に減少するという顕著な改善がありました。患者さん自身も効果を実感し、セルフケアに対するモチベーションもぐんと上がった様子でした。
-
![[写真] 2019年に₄ , ₆にインプラントを埋入](/academic/dentalmagazine/wp-content/uploads/sites/2/2026/04//196-12_photo01.jpg)
症例1-1 2019年に₄, ₆にインプラントを埋入 -
![[写真] 口腔内スキャナー](/academic/dentalmagazine/wp-content/uploads/sites/2/2026/04//196-12_photo02.jpg)
症例1-2 口腔内スキャナーで撮影し、全顎的な治療を進める。 -
![[写真] デジタル上で最終的な補綴装置の接触点を付与](/academic/dentalmagazine/wp-content/uploads/sites/2/2026/04//196-12_photo03.jpg)
症例1-3 デジタル上で最終的な補綴装置の接触点を付与 -
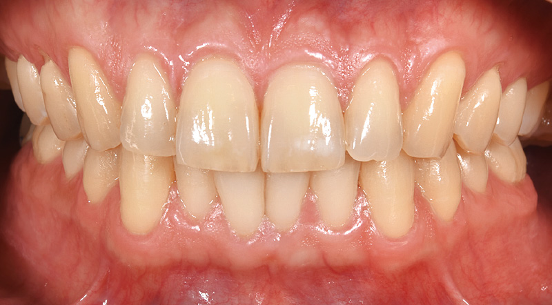
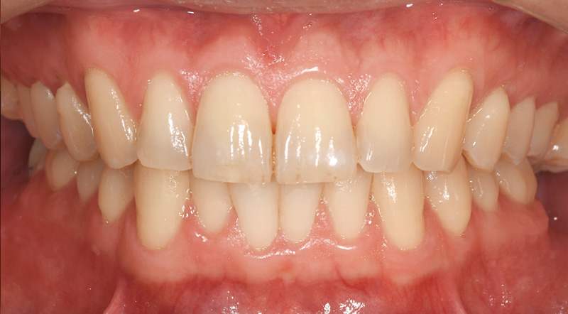
![[写真] 写真左:プロビジョナルレストレーションをステージごとに装着し、審美性や清掃性を意識した形態を模索 写真右:2022年プロビジョナルレストレーションの形態を踏襲し、最終補綴を装着](/academic/dentalmagazine/wp-content/uploads/sites/2/2026/04//196-12_photo04.jpg)
症例1-4 写真左:プロビジョナルレストレーションをステージごとに装着し、審美性や清掃性を意識した形態を模索。写真右:2022年プロビジョナルレストレーションの形態を踏襲し、最終補綴を装着。 -
![[写真] 「ソニッケアー6100」を初めて使用](/academic/dentalmagazine/wp-content/uploads/sites/2/2026/04//196-12_photo05.jpg)
症例1-5 「ソニッケアー6100」を初めて使用 -
![[写真] 「ソニッケアー6100」使用前。写真右:使用から2週間後の状態](/academic/dentalmagazine/wp-content/uploads/sites/2/2026/04//196-12_photo06.jpg)
症例1-6 写真左:「ソニッケアー6100」使用前。写真右:使用から2週間後の状態。着色が大幅に減少していることがわかる。
●症例2:30代男性
ソニッケアーの旧製品を自己流で使用。ゴシゴシと大きく動かしながら磨いていたため、「ソニッケアー6100」の導入を機に、ブラシを手磨きの感覚で動かさないことや正しい角度を鏡を見ながら丁寧に指導。2週間後には磨き残しが減るなど、改善傾向が認められました。
-
![[写真] 初診時の染め出しの状態](/academic/dentalmagazine/wp-content/uploads/sites/2/2026/04//196-12_photo07.jpg)
症例2-1 初診時の染め出しの状態。ソニッケアー旧製品を自己流で動かしながら磨いていた。 -
![[写真] 「ソニッケアー6100」の導入直後](/academic/dentalmagazine/wp-content/uploads/sites/2/2026/04//196-12_photo08.jpg)
症例2-2 「ソニッケアー6100」の導入直後、正しいブラシの当て方や動かし方を、鏡を見ながら丁寧に指導した。 -
![[写真] 初診から2週間後の染め出しの状態](/academic/dentalmagazine/wp-content/uploads/sites/2/2026/04//196-12_photo09.jpg)
症例2-3 初診から2週間後の染め出しの状態。前歯部にはプラークが残存しているが、全体的には改善傾向が見られるようになってきた。
●症例3:30代男性
喫煙者で着色を気にされていたため、しっかり磨こうという意識からブラッシング圧が強めの傾向がありました。「ソニッケアー6100」を提案し、チェアサイドで試したところ、振動によってしっかりと磨けていることを実感されました。「ソニッケアー6100」の導入後は、過圧防止センサーがあることでブラッシング圧をコントロールできるようになったとのことです。
-
![[写真] 「ソニッケアー6100」使用前の状態](/academic/dentalmagazine/wp-content/uploads/sites/2/2026/04//196-12_photo10.jpg)
症例3-1 「ソニッケアー6100」使用前の状態。着色を除去するために、かための歯ブラシで力強く磨いていた。 -
![[写真] 「ソニッケアー6100」使用から2週間後の状態](/academic/dentalmagazine/wp-content/uploads/sites/2/2026/04//196-12_photo11.jpg)
症例3-2 「ソニッケアー6100」使用から2週間後の状態。過圧防止センサーがあることでブラッシング圧をコントロールできるようになった。 -
![[写真] 「ソニッケアー6100」使用から3週間後の状態](/academic/dentalmagazine/wp-content/uploads/sites/2/2026/04//196-12_photo12.jpg)
症例3-3 「ソニッケアー6100」使用から3週間後の状態。ブラッシング圧がコントロールできるようになったことで歯肉の状態が改善した。
■「ソニッケアー6100」の使用感
ソニッケアー旧製品と比べて振動が安定し、使用感がマイルドになりました。ブラシヘッドの自動認識機能があるので、幅広い患者さんに勧めやすくなったと感じています。磨き方については、歯と歯肉の境目に対して、45度の角度でブラシを当てることを丁寧に伝えるようにしています。その上で、染め出しを用いて磨き残しを可視化し、鏡を見ながら一緒に確認することで、正しい磨き方の習得と意識の向上を促しています。
目 次
モリタ友の会会員限定記事
- Dental Talk 「Er:YAGレーザー」臨床応用の最前線~東京科学大学におけるEr:YAGレーザー活用法~
- Clinical Report インプラント周囲炎・インプラント再GBR・インプラントデブライドメントに有効なEr:YAGレーザー「 アドベール SH」
- Interview SPI World Symposiumを10年ぶりに開催 世界レベルのインプラント治療を国内で体感できる絶好の機会です
- Technical Report Superimpose Module「DUPY」を用いたこれからのインプラント補綴
- Dental Talk 歯科医師・歯科技工士連携 お互いを尊重し、信頼し合える関係を築くために必要なものとは
- Clinical Report 新世代の多機能レジン充填材料の臨床応用「ボンドフィルSB®Ⅱ」の効果的な臨床応用
- Field Report ブラケット矯正治療におけるセルフケアの重要性
- Clinical Report オラプラ液体包帯口腔用の臨床応用
- Field Report 一般開業医による矯正治療の新常識 アライナー矯正で広がる補綴治療
- Interview 「“量から質”の向上へ」デジタル機器の活用により業務効率化と患者満足を両立
- Field Report 患者さんの口腔への意識を変えるデジタル機器を活用した口腔衛生指導
- Field Report 新型ソニッケアーで補綴治療を支えるセルフケアを実践
- Dental Talk 積年の課題だったIPスキャナーの自社開発をついに実現「Veraview iP」開発の背景とその独自性
- Clinical Report 「口腔機能発達不全症」とは何か~「上手に噛めない・食べられない・呼吸できない」子どもたちの新しい健康課題と向き合う~
- Lecture 連載:歯科衛生士に必要とされる医科の知識<第3回>血液検査データ(2)
- Topics 歯科医療従事者として知っておきたい排泄・排便の基礎知識
- Dental Talk 大阪大学歯学部附属病院とモリタグループによる共同研究の現状「myDentalAI」で変わる歯科医療の未来
- Interview 開業・改装を目指す先生方へのヒントに(1) 院内システム構築の際に最優先で取り組むべきポイントとは
- Close Up 「最後まで口から食べることを日本一支援する病院」を目指して
他の記事を探す
モリタ友の会
セミナー情報
会員登録した方のみ、
限定コンテンツ・サービスが無料で利用可能
オンラインカタログでの製品の価格チェックやすべての記事の閲覧、臨床や経営に役立つメールマガジンを受け取ることができます。
商品のモニター参加や、新製品・優良品のご提供、セミナー優待割引のある、もっとお得な有料会員サービスもあります。