196号 SPRING 目次を見る
Dental Talk
「Er:YAGレーザー」臨床応用の最前線~東京科学大学におけるEr:YAGレーザー活用法~
目 次

青木先生による症例解説
![[写真] 東京科学大学 歯周病学分野 歯周光線治療学 教授 青木 章](/academic/dentalmagazine/wp-content/uploads/sites/2/2026/04//196-1_staff01.jpg)
症例① 歯肉縁下に及ぶ歯頸部う蝕治療
青木 私が提示するのは、歯頸部のう蝕治療のケースです。歯頸部う蝕やWSDで窩洞のマージンがわずかでも歯肉に隠れてしまっている場合、窩洞のマージンを露出させるには、いろいろな方法があります。私の場合は、いつも無麻酔で注水下のEr:YAGレーザー照射により歯肉を蒸散整形し、容易に正確な治療を行っています。電気メスでは、まず麻酔を行う必要があり、創面をきれいに薄く削除できず、かつ凝固層が厚くなり、さらに、凝固組織がチップに付着してしまうので、思い通りに処置できません。それに比べ、Er:YAGレーザーは患者さんにも術者にも非常にストレスが少なく処置を行うことができ、とても重宝しています。症例1-1のように歯肉縁下のマージン部分までう蝕が認められる場合には、歯肉の処置だけでなく、歯肉とマージン部分を同時に切削できるところも、非常に便利だと感じる点です。通常、スチールバーでは、刃のある側面では効果的な切削が可能ですが、バーの先端では切削しにくいため、歯肉縁下でエンドカットのできるEr:YAGレーザーのコンタクトチップは非常に有効です。症例1-2は歯肉およびう蝕蒸散後の状態です。Er:YAGレーザーの場合、注水下・非接触で丁寧に照射していくと、歯肉が蒸散しながら、蒸散面には均等に凝固層ができていきます。特に「アドベール SH」(以下:SH)の場合、高パルスでは凝固層が厚くなる可能性があるため、より出血しにくくなります。歯肉部分が広く白色化しているのは、Er:YAGレーザーの影響による組織の熱凝固ではなく、ボスミン綿球で圧迫止血した影響です。私は窩洞形成後には必ずリン酸エッチング処理を最初に行うので、その後のスリーウェイシリンジで洗浄する際に出血しやすくなるため、本症例でも念のため、予防的に圧迫処置を行いました。それによる貧血状態です。症例1-3は術野を咬合面方向から見たもので、マージンが露出し、創面も非常に滑らかに見えます。均等に凝固層ができていると思われるので、本症例ではボスミン綿球での圧迫処置をしなくても、接着操作の際に出血することはなかったでしょう。「SH」を使って40pps/40mJ, Softモードで処置していますが、う蝕除去の場合だけ出力を50mJに上げています。
渡辺 チップは垂直方向に向けて照射されているのでしょうか。
青木 はい。チップは常に歯軸方向に並行に保って、非接触で常に一定の距離を保ちながら、辺縁歯肉をEr:YAGレーザーの照射スポットでゆっくりなぞるようにして歯肉の蒸散をしっかり観察しながら、徐々に削って落としていくようなイメージです。症例1-4は高倍率で、少し不鮮明ですが、Er:YAGレーザーならではの、出血のないきれいな創面が得られています。
渡辺 う蝕が縁下まで進行しているような場合、辺縁歯肉をEr:YAGレーザーで切除してから、う蝕を除去されるのでしょうか。それとも、Er:YAGレーザーで歯肉を蒸散しながら同時にう蝕除去をされているのでしょうか。
青木 基本的には歯肉の蒸散が先になります。特に、窩縁が明らかに縁下にある場合には、少し辺縁歯肉の高さを落としますが、基本的には辺縁歯肉の内面を削ぎ落としながら、マージンの露出を確認したところで、窩縁付近にう蝕がある場合には、う蝕の蒸散を行います。窩縁付近以外の窩洞全体のう蝕や、WSDでの軟化歯質や着色の除去にはスチールバーを併用することが多いのですが、本症例では高パルスを使用したので、Er:YAGレーザーのみで窩洞全体のう蝕を除去しました。症例1-5はフロアブルレジンを用いたレジン修復直後の状態です。タービンでマージン部のすり合わせを行っているため、少し出血が見られます。症例1-7は1.5か月後の状態です。歯肉が少し下がっていますが、付着部分を損傷しなければ、一時的に歯肉が下がっても元の位置に戻ってくる場合がほとんどです。このケースでも現在、歯肉辺縁は元の位置に回復しています。
モリタ 無麻酔でマージン部にアプローチしていく際のメリットは何でしょうか。
![[写真] 東京科学大学 総合診療歯科学分野 講師 水谷 幸嗣](/academic/dentalmagazine/wp-content/uploads/sites/2/2026/04//196-1_staff02.jpg)
青木 麻酔操作は、患者術者の双方にストレスがかかります。全く疼痛のない麻酔操作を行うことは可能ですが、表面麻酔を使用した場合には、その待ち時間、刺入時のさまざまな配慮、麻酔薬の注入速度など、わずかな処置のために術者は多くの気を遣い、時間を要します。患者さんも緊張し不安を感じます。それらが一切不要となるので、患者術者の双方にとって優しく迅速な治療ができることだと思います。
モリタ 青木先生は「アーウィン アドベール EVO」(以下:EVO)の時代から無麻酔で治療されることが多いとお見受けしていますが、「SH」になって無麻酔で処置できる範囲は広がったと考えられますでしょうか。
青木 一般的にパルスが増えれば痛みを感じる確率は高くなりますから、無麻酔の範囲が広がるかどうかはわかりません。ただし、照射条件によって歯肉の知覚鈍麻作用が得られやすくなり、効率がとても良くなると思います。
水谷 これは非接触ということが重要なのでしょうか。
青木 そうです。最初に非接触で組織に低出力の照射が広く均等に加わることで、知覚鈍麻作用が得られやすくなっていると思います。
渡辺 どの程度の歯肉切除まで無麻酔で可能なのでしょうか。
青木 場合によってはかなり深いところまで処置しています。補綴物の歯頸部の二次う蝕の場合、う蝕部分を除去してレジン充填を行うことが多いですが、その場合もほとんど無麻酔です。ですから本当に便利で、患者さんも楽だと思います。
水谷 無麻酔だと患者さんのリスクを下げるだけでなく、チェアタイムも短縮できるメリットがありますね。
青木 ただ、無麻酔かどうかということよりも、非接触・注水下によるEr:YAGレーザー処置であれば、非常に正確できれいなマージン出しができるということがいちばん大きなメリットです。また、歯頸部う蝕が歯肉縁下まで進行している場合、バーによる除去では側面の歯肉を傷つけ出血させやすいのですが、Er:YAGレーザーの場合、そのような心配も少なくなります。
水谷 なにより出血が少ないことが大きいですよね。出血の有無がその後の充填時の接着操作に大きく影響することがありますから。
症例紹介① 歯肉縁下に及ぶ歯頸部う蝕治療 青木 章先生
-
![[写真] 中央歯頸部に歯肉辺縁う蝕が見られる](/academic/dentalmagazine/wp-content/uploads/sites/2/2026/04//196-1_photo02.jpg)
症例1-1 58歳女性。中央歯頸部に歯肉辺縁う蝕が見られる。 -
![[写真] 歯肉切除](/academic/dentalmagazine/wp-content/uploads/sites/2/2026/04//196-1_photo03.jpg)
症例1-2 「SH」を用いて無麻酔で歯肉切除およびう蝕除去を行った。(C600F, 40pps/40-50mJ, Softモード) -
![[写真] 咬合面方向から術野を観察](/academic/dentalmagazine/wp-content/uploads/sites/2/2026/04//196-1_photo04.jpg)
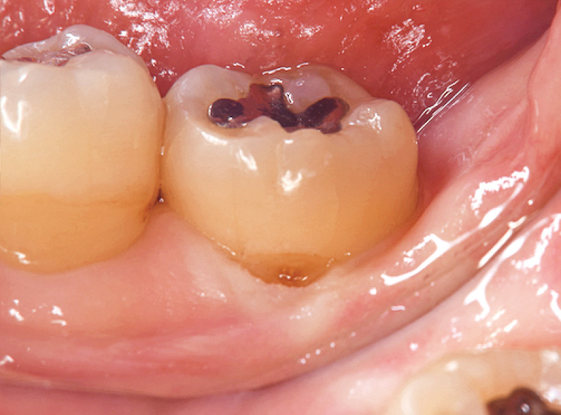
症例1-3 咬合面方向から術野を観察する。 -
![[写真] 術野を拡大](/academic/dentalmagazine/wp-content/uploads/sites/2/2026/04//196-1_photo05.jpg)
症例1-4 術野を拡大。創面は出血なくシャープできれいに仕上がっている。 -
![[写真] 術直後の状態](/academic/dentalmagazine/wp-content/uploads/sites/2/2026/04//196-1_photo06.jpg)
症例1-5 術直後の状態 -
![[写真] 咬合面方向から術野を観察](/academic/dentalmagazine/wp-content/uploads/sites/2/2026/04//196-1_photo07.jpg)
症例1-6 咬合面方向から術野を観察する。 -
![[写真] 術後1.5か月](/academic/dentalmagazine/wp-content/uploads/sites/2/2026/04//196-1_photo08.jpg)
症例1-7 術後1.5か月経過 - 動画はこちら
この記事はモリタ友の会会員限定です。登録すると続きをお読みいただけます。
残り 4474 文字
同じ筆者の記事を探す【 水谷 幸嗣 】
モリタ友の会会員限定記事
同じ筆者の記事を探す【 青木 章 】
モリタ友の会会員限定記事
- 181号 Dental Talk Er:YAGレーザー発売25周年記念対談 Er:YAGレーザーの多彩な活用方法と将来展望
- 170号 Clinical Report 歯周治療に「Erwin Adverl EVO」を 徹底活用する ―エビデンスに基づいたEr:YAG レーザーの炎症コントロールと治癒促進―
目 次
モリタ友の会会員限定記事
- Dental Talk 「Er:YAGレーザー」臨床応用の最前線~東京科学大学におけるEr:YAGレーザー活用法~
- Clinical Report インプラント周囲炎・インプラント再GBR・インプラントデブライドメントに有効なEr:YAGレーザー「 アドベール SH」
- Interview SPI World Symposiumを10年ぶりに開催 世界レベルのインプラント治療を国内で体感できる絶好の機会です
- Technical Report Superimpose Module「DUPY」を用いたこれからのインプラント補綴
- Dental Talk 歯科医師・歯科技工士連携 お互いを尊重し、信頼し合える関係を築くために必要なものとは
- Clinical Report 新世代の多機能レジン充填材料の臨床応用「ボンドフィルSB®Ⅱ」の効果的な臨床応用
- Field Report ブラケット矯正治療におけるセルフケアの重要性
- Clinical Report オラプラ液体包帯口腔用の臨床応用
- Field Report 一般開業医による矯正治療の新常識 アライナー矯正で広がる補綴治療
- Interview 「“量から質”の向上へ」デジタル機器の活用により業務効率化と患者満足を両立
- Field Report 患者さんの口腔への意識を変えるデジタル機器を活用した口腔衛生指導
- Field Report 新型ソニッケアーで補綴治療を支えるセルフケアを実践
- Dental Talk 積年の課題だったIPスキャナーの自社開発をついに実現「Veraview iP」開発の背景とその独自性
- Clinical Report 「口腔機能発達不全症」とは何か~「上手に噛めない・食べられない・呼吸できない」子どもたちの新しい健康課題と向き合う~
- Lecture 連載:歯科衛生士に必要とされる医科の知識<第3回>血液検査データ(2)
- Topics 歯科医療従事者として知っておきたい排泄・排便の基礎知識
- Dental Talk 大阪大学歯学部附属病院とモリタグループによる共同研究の現状「myDentalAI」で変わる歯科医療の未来
- Interview 開業・改装を目指す先生方へのヒントに(1) 院内システム構築の際に最優先で取り組むべきポイントとは
- Close Up 「最後まで口から食べることを日本一支援する病院」を目指して
他の記事を探す
モリタ友の会
セミナー情報
会員登録した方のみ、
限定コンテンツ・サービスが無料で利用可能
オンラインカタログでの製品の価格チェックやすべての記事の閲覧、臨床や経営に役立つメールマガジンを受け取ることができます。
商品のモニター参加や、新製品・優良品のご提供、セミナー優待割引のある、もっとお得な有料会員サービスもあります。