196号 SPRING 目次を見る
Clinical Report
「口腔機能発達不全症」とは何か~「上手に噛めない・食べられない・呼吸できない」子どもたちの新しい健康課題と向き合う~
キーワード:
口腔機能発達不全症/新しい健康課題/令和の歯科医療
目 次
はじめに
う蝕や歯列不正といった形態的な問題が減少している一方で、機能的な未発達が目立つ子どもが増えている。保護者から、「やわらかいものしか食べない」「噛まずに飲み込む」「食事に時間がかかる」「姿勢が悪い」「口がポカンと開いている」といった訴えを聞くことも多くなっている。姿勢の維持ができない体幹の弱そうな子どもをはじめ、口唇の緊張低下、偏った咀嚼パターン、偏った食習慣、舌突出癖など、確認してみると多くの子どもが該当する( 図1-1, 1-2)。それは単なる口の問題、咀嚼の問題だけではなく、呼吸や姿勢、さらには全身発達にも関わる健康課題と言える。
ご承知のとおり、2018年に厚生労働省が保険病名として導入した「口腔機能発達不全症」は、まさにこの変化を捉えた概念である。これまでの「形態回復(う蝕・咬合)」が主であった歯科医療から「ライフステージに応じた口腔機能管理の推進」が明記され1)、小児分野において今求められているのは「口腔機能の発達」を促すことである( 図2, 3)。
子どもたちの口腔機能発達には段階的プロセスがあり、神経筋機構の協調によって連続的に発達していく。しかし現代社会では、何もかもが便利になりすぎて、乳幼児期からの運動不足、軟食化、姿勢の崩れ、口呼吸などが、このプロセスを阻害していると考えられる。長時間のスマートフォン使用(スマホ育児)もこれに拍車をかけている( 図4)。
結果として、「噛めない」「上手に食べられない」「鼻で呼吸できない」といった、成長発達の中で本来獲得されるべき基本機能の未発達が顕在化してきている。それが「口腔機能発達不全症」であり、現代の歯科医療が避けて通れないテーマであると考える。
そこで本稿では、4回の連載を通して
・ 「口腔機能発達不全症」とは何か
・ 口腔機能を育てる乳幼児の初診時対応の実際
・ 小児歯科プログラムの組み立て方
・ 咀嚼機能を重視した小児咬合のつくり方
という4つのテーマに分けて、「口腔機能を育てる小児歯科のプログラム」について考えてみたい。
-
![[写真] 前方頭位で口唇がいつも開いている7歳男児](/academic/dentalmagazine/wp-content/uploads/sites/2/2026/04//196-14_photo01-1.jpg)
図1-1 前方頭位で口唇がいつも開いている7歳男児 -
![[写真] りんごを噛み切る時も前歯を使わず側方歯を使う](/academic/dentalmagazine/wp-content/uploads/sites/2/2026/04//196-14_photo01-2.jpg)
図1-2 りんごを噛み切る時も前歯を使わず側方歯を使う。 -
![[図] ライフステージに応じた口腔機能管理の推進①](/academic/dentalmagazine/wp-content/uploads/sites/2/2026/04//196-14_photo02.png)
図2 2018年に小児の口腔機能管理の推進が明記された。(平成30年度診療報酬改定の概要(歯科)厚生労働省保険局医療課資料より抜粋) -
![[図] 加齢による口腔機能の変化のイメージ](/academic/dentalmagazine/wp-content/uploads/sites/2/2026/04//196-14_photo03.png)
図3 口腔機能獲得のため、歯科の介入が必要。(令和4年度診療報酬改定の概要(歯科)厚生労働省保険局医療課資料より抜粋) -
![[写真] 常時口呼吸の5歳児](/academic/dentalmagazine/wp-content/uploads/sites/2/2026/04//196-14_photo04.jpg)
図4 常時口呼吸の5歳児 -
![[図] 口腔機能発達不全症に関する基本的な考え方](/academic/dentalmagazine/wp-content/uploads/sites/2/2026/04//196-14_photo05.png)
図5 口腔機能発達不全症に関する基本的な考え方(日本歯科医学会(令和6年3月)より抜粋)
「口腔機能発達不全症」と評価の難しさ
「何が問題で、どこまで関与すべきなのか?」 まずここで、多くの臨床家が積極的になれない理由がある。
他の理由としては、「今まで、そういう視点で診たことがない」「どのように診断し、どういうプログラムで、院内の誰がそれを担えばいいのか?」「どのように保険算定すればよいのか?経営的に採算が取れるのか?」「子どもの食べ方や呼吸、姿勢まで歯科が見る必要があるのか?」といったあたりではないだろうか。
本症の特徴は、言うまでもなく「形態ではなく機能を診る」点にある。これまで歯科疾患の多くは形態の異常(う蝕、歯周病、不正咬合など)として評価されてきた。しかし、「口腔機能発達不全症」は筋活動・動作・呼吸様式など、見えにくい機能異常を扱うため、歯科臨床のこれまでとは違う「問診力」「観察力」「チーム力(スタッフの力)」が必要となる。
「口腔機能発達不全症」について、日本歯科医学会「小児の口腔機能発達評価マニュアル(第1版)」2)では、「食べる機能」 、「話す機能」、または「呼吸する機能」が十分に発達していないか、正常(定型的) に機能獲得が出来ていない状態で、明らかな摂食機能障害の原因疾患を有さず、口腔機能の定型発達において個人因子あるいは環境因子に専門的な関与が必要な状態、を示す。とある( 図5)。つまり、咀嚼・嚥下・発音・呼吸・口唇閉鎖などの発達項目を主に問診と視診で評価し、「口腔機能発達不全症」のチェックリストで複数の項目に異常が見られ、改善指導が必要な場合に診断できるとされている3)。
こう言うと少し難しく聞こえるかもしれないが、結果はいつも診ている口の中に全て現れているのではないだろうか。乳幼児期からの叢生や過蓋咬合は、機能的な問題があっての結果であろう。もちろんそれら全てを改善しなければならないわけではない。しかし臨床現場では、「どこまでが正常発達で、どこからが発達不全なのか」という境界を患者さんにある程度明示しなければならない。ところが問題が機能的な部分であるため、それを明示することが簡単ではない。ここが難しい( 図6-1,6-2)。
例えば5歳児で「咀嚼がうまくいっていない」という訴えに対して、単なる個体差、個性なのか、それとも機能不全なのかという点である。この判断には、年齢別の発達段階を理解し、生活背景と照らし合わせて評価する視点も必要となるのだが、日常臨床の中でこれを歯科治療を担っている歯科医師が全て行うとなると、時間的にもシステム的にも大きな障壁となるであろう。常時口呼吸、安静時開口、偏咀嚼、舌突出癖、過度な軟食嗜好などが重なれば明確にリスク群であるが、これを口腔機能発達不全症のチェックリストに照らして評価していくことで診断し、管理方法を決定し指導内容の選択、訓練方法の選択と期間などを決定していく。診断は歯科医師が行うが、指導や訓練は歯科衛生士などスタッフの力が重要である( 図7, 8)。
-
![[写真] 6歳5か月の男児](/academic/dentalmagazine/wp-content/uploads/sites/2/2026/04//196-14_photo06-1.jpg)
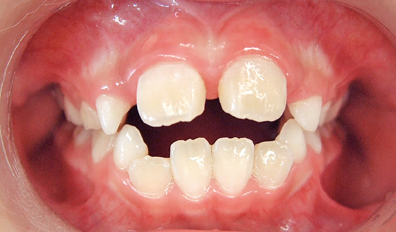
図6-1 6歳5か月の男児。前歯部開咬を主訴に来院。歯列狭窄、高口蓋、叢生などが認められる。 -
![[写真] 6歳5か月の男児](/academic/dentalmagazine/wp-content/uploads/sites/2/2026/04//196-14_photo06-1.jpg)
図6-2 口唇閉鎖不全、口呼吸、舌突出癖などの機能不全がこの結果をもたらしていると考えられる。 -
![[図] チェックリスト](/academic/dentalmagazine/wp-content/uploads/sites/2/2026/04//196-14_photo07.png)
図7 チェックリストに照らして評価していく。(「口腔機能発達不全症に関する基本的な考え方」日本歯科医学会(令和6年3月)より抜粋) -
![[写真] 口腔筋機能訓練の様子](/academic/dentalmagazine/wp-content/uploads/sites/2/2026/04//196-14_photo08.jpg)
図8 口腔筋機能訓練の実際は、歯科衛生士などのスタッフが中心となる。
この記事はモリタ友の会会員限定です。登録すると続きをお読みいただけます。
残り 1837 文字
目 次
モリタ友の会会員限定記事
- Dental Talk 「Er:YAGレーザー」臨床応用の最前線~東京科学大学におけるEr:YAGレーザー活用法~
- Clinical Report インプラント周囲炎・インプラント再GBR・インプラントデブライドメントに有効なEr:YAGレーザー「 アドベール SH」
- Interview SPI World Symposiumを10年ぶりに開催 世界レベルのインプラント治療を国内で体感できる絶好の機会です
- Technical Report Superimpose Module「DUPY」を用いたこれからのインプラント補綴
- Dental Talk 歯科医師・歯科技工士連携 お互いを尊重し、信頼し合える関係を築くために必要なものとは
- Clinical Report 新世代の多機能レジン充填材料の臨床応用「ボンドフィルSB®Ⅱ」の効果的な臨床応用
- Field Report ブラケット矯正治療におけるセルフケアの重要性
- Clinical Report オラプラ液体包帯口腔用の臨床応用
- Field Report 一般開業医による矯正治療の新常識 アライナー矯正で広がる補綴治療
- Interview 「“量から質”の向上へ」デジタル機器の活用により業務効率化と患者満足を両立
- Field Report 患者さんの口腔への意識を変えるデジタル機器を活用した口腔衛生指導
- Field Report 新型ソニッケアーで補綴治療を支えるセルフケアを実践
- Dental Talk 積年の課題だったIPスキャナーの自社開発をついに実現「Veraview iP」開発の背景とその独自性
- Clinical Report 「口腔機能発達不全症」とは何か~「上手に噛めない・食べられない・呼吸できない」子どもたちの新しい健康課題と向き合う~
- Lecture 連載:歯科衛生士に必要とされる医科の知識<第3回>血液検査データ(2)
- Topics 歯科医療従事者として知っておきたい排泄・排便の基礎知識
- Dental Talk 大阪大学歯学部附属病院とモリタグループによる共同研究の現状「myDentalAI」で変わる歯科医療の未来
- Interview 開業・改装を目指す先生方へのヒントに(1) 院内システム構築の際に最優先で取り組むべきポイントとは
- Close Up 「最後まで口から食べることを日本一支援する病院」を目指して
他の記事を探す
モリタ友の会
セミナー情報
会員登録した方のみ、
限定コンテンツ・サービスが無料で利用可能
オンラインカタログでの製品の価格チェックやすべての記事の閲覧、臨床や経営に役立つメールマガジンを受け取ることができます。
商品のモニター参加や、新製品・優良品のご提供、セミナー優待割引のある、もっとお得な有料会員サービスもあります。