196号 SPRING 目次を見る
キーワード:
液体包帯口腔用/口腔粘膜への強力な付着性
目 次
はじめに
アフタ性口内炎や義歯性口内炎などびらん・潰瘍を伴う口腔粘膜の炎症性疾患の治療には、種々の軟膏や含嗽薬が広く使用されている1, 2)。また、それ以外にもグリチルリチン酸ジカリウム貼付綻3)、トリアムシノロンアセトニド貼付綻4~6)などの綻剤型貼付剤が開発され、薬剤を直接患部に付着させ主薬を浸透させるという点で進歩が認められてきた。
これらの使用目的は、①患部に付着し、患部を種々の機械的刺激から保護する ②含有された薬剤の抗炎症作用に期待する2点に集約されると考えられる。したがって、これらの目的に沿うためには十分に長時間患部に付着していることが望ましいが、口腔の果たす諸機能とそれに伴う解剖学的形態は、これらの目的には不利に働き、とりわけ唾液の存在と舌・頰粘膜などの動きにより、薬剤を長く患部に留めることは困難である。
また、従来の軟膏製剤はその剤型上、患者によっては異物感や不快感を訴えることも少なくない。これまでにも様々な薬剤の使用により、機械的刺激に対する疼痛緩和を認めた症例が少ないため、より改良された停滞性が高く、機械的刺激を軽減できる製品の開発が望まれているのが現状と考えられる。
オラプラ液体包帯口腔用の特徴と性能
オラプラ(液体包帯口腔用)(富士フイルム富山化学株式会社 図1)は、以上のような従来の製剤の欠点を改善すべく開発された商品である。
本商品は全身的作用がなく、付着性基剤とカルボキシビニルポリマーを使用し、これは適度な粘性を持たせ使用感を向上させる安全性評価を行った物質である。またワセリンなどにも含まれるゲル化炭化水素も配合されており、操作性に優れ患部に刺激がなく、しっかりと患部に停滞し保護することを実現できる。
作用機序として唾液を吸収し、ゲル状となって患部を覆い、物理的に患部を保護し機械的刺激を軽減する。
-
![[写真] 液体包帯「オラプラ液体包帯口腔用」](/academic/dentalmagazine/wp-content/uploads/sites/2/2026/04//196-8_photo01.jpg)
図1 液体包帯「オラプラ液体包帯口腔用」 -
![[写真]](/academic/dentalmagazine/wp-content/uploads/sites/2/2026/04//196-8_photo02.jpg)
図2 疼痛スケールシート
出典:スマイルナース.jp(https://www.smile-nurse.jp/column/nursiing-knowledge/painrating-scale-2/)
臨床での活用法
対象者は当科を受診し、びらんまたは潰瘍を伴う各種の口内炎と診断された患者を対象として、さらにその中でも接触痛の訴えの強い患者にオラプラを用いた。含嗽したのち、患部の唾液および水を軽く拭き取り、その後に指や綿棒にて患部に塗布する。使用量は1日3回までとして、使用期間は1週間または1週間以内の軽快時までとした。
使用後にアンケート調査を行い、オラプラの使用感・疼痛軽減効果などの評価を行った。疼痛の評価方法としては疼痛スケールシートを使用している(図2)。
対象症例
-
![[写真] 下唇の口内炎](/academic/dentalmagazine/wp-content/uploads/sites/2/2026/04//196-8_photo03.jpg)
図3 下唇の口内炎 -
![[写真] 誤咬による舌口内炎](/academic/dentalmagazine/wp-content/uploads/sites/2/2026/04//196-8_photo04.jpg)
図4 誤咬による舌口内炎 -
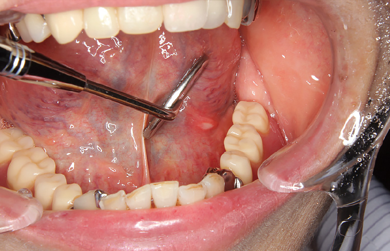
![[写真] 義歯不適合による褥瘡性潰瘍](/academic/dentalmagazine/wp-content/uploads/sites/2/2026/04//196-8_photo05.jpg)
図5 義歯不適合による褥瘡性潰瘍 -
![[写真] 誤咬による舌側縁部口内炎](/academic/dentalmagazine/wp-content/uploads/sites/2/2026/04//196-8_photo06.jpg)
図6 誤咬による舌側縁部口内炎 -
![[写真] 誤咬による上唇口内炎](/academic/dentalmagazine/wp-content/uploads/sites/2/2026/04//196-8_photo07.jpg)
図7 誤咬による上唇口内炎 -
![[写真] 歯槽堤の義歯性潰瘍](/academic/dentalmagazine/wp-content/uploads/sites/2/2026/04//196-8_photo08.jpg)
図8 歯槽堤の義歯性潰瘍 -
![[写真] 舌下面の義歯性口内炎](/academic/dentalmagazine/wp-content/uploads/sites/2/2026/04//196-8_photo09.jpg)
図9 舌下面の義歯性口内炎
臨床所見の改善度
対象症例27例中、接触痛は疼痛スケールシートにて全例に認められ、改善率は96.2%であった。食事の際の疼痛も全例に認められ、改善率は96.2%であった(図10)。段階別にみると接触痛、摂食時痛とも2段階改善が多くみられた。
患者改善度(図10)
患者の印象(図11)
部位別平均付着時間(図12)
-
![[表] 患者改善度](/academic/dentalmagazine/wp-content/uploads/sites/2/2026/04//196-8_photo10.png)
図10 患者改善度 -
![[表] 患者の印象](/academic/dentalmagazine/wp-content/uploads/sites/2/2026/04//196-8_photo11.png)
図11 患者の印象 -
![[表] 部位別平均付着時間](/academic/dentalmagazine/wp-content/uploads/sites/2/2026/04//196-8_photo12.png)
図12 部位別平均付着時間
まとめ
今回、検討を行ったオラプラは口腔粘膜への付着性を強力にし、異物感など使用時の違和感をなくすように改善された商品である。ワセリンなどにも含まれるゲル化炭化水素も配合されており、操作性に優れ患部に刺激がなく、しっかりと患部に停滞し保護することを実現できる。
作用機序として唾液を吸収し、ゲル状となって患部を覆い、物理的に患部を保護し機械的刺激を軽減する。また、容量も多く基本的には病変部が全て被覆できる形状となっている。
本商品の特徴が実際の臨床上有用性を発揮するかどうかを検討した結果、臨床症状の改善では自覚症状の接触痛の改善が全症例の96.2%にみられ、食事の際の疼痛の改善が得られた症例は96.2%と双方とも高率を示し、本商品の「痛み」に対する優れた保護性を示唆するものと思われた。
- 1) 上野正, 他:二重盲検法によるデキサルチン軟膏の臨床試験成績. 日口外誌, 1980, 26 1399-1408.
- 2) 山下佐英, 他:口内炎におけるケナログの使用経験. 日本歯科評論, 509:239~246, 1985.
- 3) 西山茂夫, 他:アフタ性口内炎に対するTN-08Gの臨床試験成績. 診療と新薬, 21:525~533, 1984.
- 4) 大谷隆俊, 他:TN-08の予備臨床試験成績. 基礎と臨床, 14:2411~2420, 1980.
- 5) 大谷隆俊, 他:再発性アフタに対する TN-08の臨床試験成績. 新薬と臨床, 29:1327~1334, 1980.
- 6) 西山茂夫, 他:再発性アフタに対する TN-08の二重盲検群間比較試1験. 薬物療法, 13:515~524, 1980.
目 次
モリタ友の会会員限定記事
- Dental Talk 「Er:YAGレーザー」臨床応用の最前線~東京科学大学におけるEr:YAGレーザー活用法~
- Clinical Report インプラント周囲炎・インプラント再GBR・インプラントデブライドメントに有効なEr:YAGレーザー「 アドベール SH」
- Interview SPI World Symposiumを10年ぶりに開催 世界レベルのインプラント治療を国内で体感できる絶好の機会です
- Technical Report Superimpose Module「DUPY」を用いたこれからのインプラント補綴
- Dental Talk 歯科医師・歯科技工士連携 お互いを尊重し、信頼し合える関係を築くために必要なものとは
- Clinical Report 新世代の多機能レジン充填材料の臨床応用「ボンドフィルSB®Ⅱ」の効果的な臨床応用
- Field Report ブラケット矯正治療におけるセルフケアの重要性
- Clinical Report オラプラ液体包帯口腔用の臨床応用
- Field Report 一般開業医による矯正治療の新常識 アライナー矯正で広がる補綴治療
- Interview 「“量から質”の向上へ」デジタル機器の活用により業務効率化と患者満足を両立
- Field Report 患者さんの口腔への意識を変えるデジタル機器を活用した口腔衛生指導
- Field Report 新型ソニッケアーで補綴治療を支えるセルフケアを実践
- Dental Talk 積年の課題だったIPスキャナーの自社開発をついに実現「Veraview iP」開発の背景とその独自性
- Clinical Report 「口腔機能発達不全症」とは何か~「上手に噛めない・食べられない・呼吸できない」子どもたちの新しい健康課題と向き合う~
- Lecture 連載:歯科衛生士に必要とされる医科の知識<第3回>血液検査データ(2)
- Topics 歯科医療従事者として知っておきたい排泄・排便の基礎知識
- Dental Talk 大阪大学歯学部附属病院とモリタグループによる共同研究の現状「myDentalAI」で変わる歯科医療の未来
- Interview 開業・改装を目指す先生方へのヒントに(1) 院内システム構築の際に最優先で取り組むべきポイントとは
- Close Up 「最後まで口から食べることを日本一支援する病院」を目指して
他の記事を探す
モリタ友の会
セミナー情報
会員登録した方のみ、
限定コンテンツ・サービスが無料で利用可能
オンラインカタログでの製品の価格チェックやすべての記事の閲覧、臨床や経営に役立つメールマガジンを受け取ることができます。
商品のモニター参加や、新製品・優良品のご提供、セミナー優待割引のある、もっとお得な有料会員サービスもあります。