196号 SPRING 目次を見る
Technical Report
Superimpose Module「DUPY」を用いたこれからのインプラント補綴
キーワード:
Superimposeテクニック/デジタルインプラント治療
目 次
はじめに
近年、デジタルインプラント治療で患者へのコンサルティングや診察と検査、その後の診断と治療プランを立案する過程において、また補綴、修復治療を行う上で画像を重ね合わせ、補綴物を製作している症例を頻繁に目にするようになってきた(図1)。
そもそも重ね合わせについては、眼科等でSuperpositionという英訳が多く用いられ、その他にStacking、Overlay, Identify, Overlap等、重ね合わせるマテリアルにより使い分けがなされている。
では、日本のデジタル歯科業界はというと、ほとんどの講演や文献でマッチングという言葉を使用しており、インテグレーション等の言葉を使い、解説を行っていることも稀に見受けられる。
筆者は10年ほど前からアメリカの補綴学会でデータ、画像等の重ね合わせは歯科専門用語として必ずSuperimposeを使用するようにと教育され、それ以来現在に至るまでSuperimposeという単語を使い、文献や講演等を行ってきた。現在では適切な用語を使って、教育を行っている機関も増えつつある。
では、なぜSuperimposeのテクニックを使い、インプラント補綴を行うようになってきたのであろう?第一の理由として、口腔内スキャナーとスキャンボディの普及が挙げられる。
以前では、1~4歯欠損程度のインプラント補綴であれば、プロビジョナルレストレーションで獲得された口腔内状況をカスタム印象コーピングを使用し、模型上にトランスファーして最終上部構造体を製作してきた(図2)。
また、フルマウスレストレーション等は、最終形態のプロビジョナルレストレーションと軟組織の状況をアナログ印象し、模型を起こした後にそれを参考に、最終上部構造体を咬合関係も含め、全てをコピー製作するよう歯科技工士に依頼していた。しかし、このような模型の完全コピーは不可能であり、製作側の歯科技工士を常に困惑させていた(図3)。
現在では、IOSとスキャンボディで口腔内のインプラント位置関係をスキャンでき、少数歯欠損のインプラント補綴であれば、時間と精度を度外視すれば、既存のモジュールを駆使してSuperimposeを行い、完成まで漕ぎ着けることが可能である。
しかし、無歯顎患者において10症例以上、日米でケースを試した結果、納得のできるPassive Fitは1症例も得ることができず、メーカーにその理由を求めたが、はっきりとした答えを得ることができなかった。
-
![[写真] DICOMデータ、フェイススキャンデータ、そしてIOSデータからデザインしたデジタルワックスアップの3デジタルデータ](/academic/dentalmagazine/wp-content/uploads/sites/2/2026/04//196-4_photo01.jpg)
図1 DICOMデータ、フェイススキャンデータ、そしてIOSデータからデザインしたデジタルワックスアップの3デジタルデータをSuperimposeし、患者の診察、検査、その後の診断に用いている。 -
![[写真] サブジンジバルカウンターを最終補綴物へトランスファーする](/academic/dentalmagazine/wp-content/uploads/sites/2/2026/04//196-4_photo02.jpg)
図2 プロビジョナルレストレーションによりSoft Tissue Sculptingされた軟組織の状態をカスタム印象コーピングを使用し、サブジンジバルカウンターを最終補綴物へトランスファーする。 -
![[写真] 副模型](/academic/dentalmagazine/wp-content/uploads/sites/2/2026/04//196-4_photo03.jpg)
図3 以前は、プロビジョナルの形態をファイナルへ移行するために、基底面形態や歯肉縁上の形態を副模型に起こすといった、プロビジョナルの形態をあくまで模倣し、テクニシャンが経験と勘で作製していた。
IOSとスキャンボディを使用したデジタルインプラント印象の問題点
① 単独並びに部分床歯欠損症例
現在、特に前歯部の審美インプラント補綴を成功させるためには、インプラント周囲軟組織をプロビジョナルレストレーションにより、Soft Tissue Sculptingを行い1)、理想とする歯肉形態を作り上げることが重要である(図4)。その後、カスタム印象コーピングを使用し、アナログ印象採得を行い(図5)、口腔内を複製した模型から最終補綴物製作を行う2)。
しかし、デジタルインプラント補綴ではプロビジョナルレストレーションを撤去した後、スキャンボディを締結しIOSでデジタルデータを採得するが、それらの操作中にSoft Tissue Sculptingされた軟組織の形状が崩壊してしまい(図6-1, 6-2)、そのデータで最終補綴物を製作すると、サブジンジバルカウンターを憶測で製作することになる(図7)。このことにより、最終補綴物を口腔内に装着した際に歯肉縁下の形態が異なるため、周囲歯周組織が圧迫され貧血を起こし(図8)、疼痛から装着まで時間がかかり、患者への負担が増大する結果となり、デジタルテクノロジーを使用している意味がなくなる。
② 全部床欠損症例
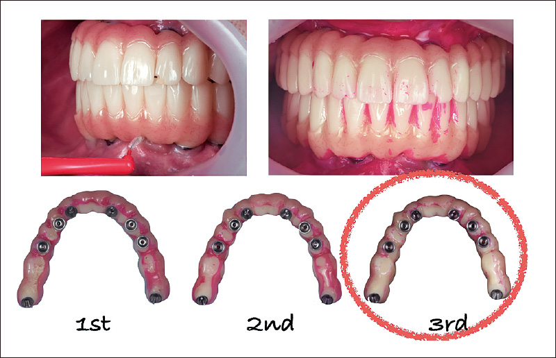
近年、All-on 4やAll-on 6等、インプラント支持のFull Mouth Reconstruction等では、大半のケースで術後すぐImmediate プロビジョナルレストレーションの口腔内提供を行っている。その後、Long Term プロビジョナルレストレーションに置き換え、2~6か月間経過観察を行う。その間、歯列、形態、咬合等はもちろんのこと、患者自身のセルフケアが容易にできるよう、インプラント植立部周辺形態やポンティック部の歯肉に接する形状がその患者に対して最適であるかを歯科衛生士、歯科技工士共に確認を行う(図9)。そして、以前では最終形態のプロビジョナルレストレーションと軟組織の状況をアナログまたはPick Up印象を行い、それらを参考に最終上部構造体を製作するよう歯科技工士に依頼していた(図10)3)。
それをデジタルに置き換えると、完成された口腔内状況をIOSによりデータを獲得しようとしても、プロビジョナルレストレーションを口腔内から着脱した瞬間から崩壊ないし歯肉形態の変形を起こしてしまい、長期間かけて作り上げたメインテナンス能力のある歯肉形状が最終補綴物に反映されることはなく、その結果、インプラント周囲炎の問題を引き起こす要因となっていた(図11)。
-
![[写真] インプラント周囲軟組織のSoft Tissue Sculptingを行う](/academic/dentalmagazine/wp-content/uploads/sites/2/2026/04//196-4_photo04.jpg)
図4 プロビジョナルレストレーションを使用し、インプラント周囲軟組織のSoft Tissue Sculptingを行う。咬合面観からだと、根の段面形態を模倣しているのが分かる。 -
![[写真] アナログ印象](/academic/dentalmagazine/wp-content/uploads/sites/2/2026/04//196-4_photo05.jpg)
図5 カスタム印象コーピングを使用し、アナログ印象を行う。 -
![[写真] スキャンボディを口腔内に装着](/academic/dentalmagazine/wp-content/uploads/sites/2/2026/04//196-4_photo06-1.jpg)
図6-1 スキャンボディを口腔内に装着し、すぐさまIOSデータを取得しても、周囲歯肉のデジタルデータは崩壊した状態となる。 -
![[写真] Soft Tissue Sculptingされた軟組織](/academic/dentalmagazine/wp-content/uploads/sites/2/2026/04//196-4_photo06-2.jpg)
図6-2 Soft Tissue Sculptingされた軟組織の状態が、スキャンボディ締結後は直ぐに崩壊してしまい、元の状態が全く分からない。 -
![[写真] 最終補綴物をデザイン](/academic/dentalmagazine/wp-content/uploads/sites/2/2026/04//196-4_photo07.jpg)
図7 それらのデータを使用し、最終補綴物をデザインすると、サブジンジバルカウンターは憶測となる。 -
![[写真] 歯肉縁下](/academic/dentalmagazine/wp-content/uploads/sites/2/2026/04//196-4_photo08.jpg)
図8 最終補綴物を口腔内に装着すると、歯肉縁下の形態が異なっており、周囲組織が圧迫され貧血を起こしてしまう。 -
![[写真] インプラント周辺やポンティック部の歯肉](/academic/dentalmagazine/wp-content/uploads/sites/2/2026/04//196-4_photo09.jpg)
図9 インプラント周辺やポンティック部の歯肉に接する形状がその患者に対して、メインテナンス能力があるかを染め出し等を行い、歯科医師、歯科衛生士、歯科技工士共に確認を行うことが重要である。(奈良県 堀内克啓先生ご提供) -
![[写真] Pick Up印象](/academic/dentalmagazine/wp-content/uploads/sites/2/2026/04//196-4_photo10.jpg)
図10 以前は、開口量がありPick Up印象取得可能な患者に対しては、アナログ手法で行われていたが、高齢患者で臼歯部にインプラント埋入がなされている症例に対しては、ほぼ不可能であった。 -
![[写真] プロビジョナルレストレーション](/academic/dentalmagazine/wp-content/uploads/sites/2/2026/04//196-4_photo11.jpg)
図11 プロビジョナルレストレーションで、長期間かけ作り上げた清掃性に優れた基底面形状やサブジンジバルカウンターが最終補綴物にコピーされず、インプラント周囲炎の原因になることが昨今All-on 4&6等のケースに数多く見受けられる。(奈良県 堀内克啓先生ご提供)
この記事はモリタ友の会会員限定です。登録すると続きをお読みいただけます。
残り 1251 文字
目 次
モリタ友の会会員限定記事
- Dental Talk 「Er:YAGレーザー」臨床応用の最前線~東京科学大学におけるEr:YAGレーザー活用法~
- Clinical Report インプラント周囲炎・インプラント再GBR・インプラントデブライドメントに有効なEr:YAGレーザー「 アドベール SH」
- Interview SPI World Symposiumを10年ぶりに開催 世界レベルのインプラント治療を国内で体感できる絶好の機会です
- Technical Report Superimpose Module「DUPY」を用いたこれからのインプラント補綴
- Dental Talk 歯科医師・歯科技工士連携 お互いを尊重し、信頼し合える関係を築くために必要なものとは
- Clinical Report 新世代の多機能レジン充填材料の臨床応用「ボンドフィルSB®Ⅱ」の効果的な臨床応用
- Field Report ブラケット矯正治療におけるセルフケアの重要性
- Clinical Report オラプラ液体包帯口腔用の臨床応用
- Field Report 一般開業医による矯正治療の新常識 アライナー矯正で広がる補綴治療
- Interview 「“量から質”の向上へ」デジタル機器の活用により業務効率化と患者満足を両立
- Field Report 患者さんの口腔への意識を変えるデジタル機器を活用した口腔衛生指導
- Field Report 新型ソニッケアーで補綴治療を支えるセルフケアを実践
- Dental Talk 積年の課題だったIPスキャナーの自社開発をついに実現「Veraview iP」開発の背景とその独自性
- Clinical Report 「口腔機能発達不全症」とは何か~「上手に噛めない・食べられない・呼吸できない」子どもたちの新しい健康課題と向き合う~
- Lecture 連載:歯科衛生士に必要とされる医科の知識<第3回>血液検査データ(2)
- Topics 歯科医療従事者として知っておきたい排泄・排便の基礎知識
- Dental Talk 大阪大学歯学部附属病院とモリタグループによる共同研究の現状「myDentalAI」で変わる歯科医療の未来
- Interview 開業・改装を目指す先生方へのヒントに(1) 院内システム構築の際に最優先で取り組むべきポイントとは
- Close Up 「最後まで口から食べることを日本一支援する病院」を目指して
他の記事を探す
モリタ友の会
セミナー情報
会員登録した方のみ、
限定コンテンツ・サービスが無料で利用可能
オンラインカタログでの製品の価格チェックやすべての記事の閲覧、臨床や経営に役立つメールマガジンを受け取ることができます。
商品のモニター参加や、新製品・優良品のご提供、セミナー優待割引のある、もっとお得な有料会員サービスもあります。