196号 SPRING 目次を見る
Clinical Report
インプラント周囲炎・インプラント再GBR・インプラントデブライドメントに有効なEr:YAGレーザー「 アドベール SH」
キーワード:
インプラント周囲炎/再GBR/適切なデブライドメント
目 次
- ≫ はじめに
- ≫ インプラント表面デブライドメントの方法
- ≫ 症例報告
- ≫ まとめ
はじめに
インプラント治療の有効性はいうまでもなく、残存天然歯の咬合支持を補強することで天然歯の予後を改善し、さらに天然歯を削ることなく欠損補綴が可能であり、MIな治療である。しかし、インプラントも天然歯と同様に歯周病になる可能性があり、インプラント周囲炎への対応を常に念頭に置く必要がある。
術者はインプラント治療を行う以上、インプラント周囲炎を予防・改善する責任を負う。インプラント周囲炎の処置は必須であると考える。
インプラント周囲炎は多因子性の疾患であり、患者側要因と術者側要因の双方が関与する。
患者側要因
1. 細菌学的要因
① 歯周病既往
② 口腔衛生不良
③ 定期的なメインテナンスの欠如
2. 全身的要因
① 糖尿病
② 喫煙
③ 膠原病(免疫抑制剤使用)
3. 局所的要因
① 角化歯肉の欠如
術者側要因
1. 外科的要因
① インプラントポジション(埋入深度、インプラント近接)
② オーバーヒート
③ 過度の埋入トルク
2. 補綴的要因
① セメント残留
② 過度なオーバーカントゥアのエマージェンスプロファイル
③ チタンベースアバットメントの不適切な選択
④ 過大なクラウン・インプラント(C/I)比
⑤ 咬合不良
さらに、インプラントの適応拡大にはGBRが不可欠であるが、インテグレーションが得られても支持骨が不足すれば周囲炎のリスクは高まる。そのため、場合によっては再GBRが必要となるケースもある。この際、感染は伴わないため、インプラント体を損傷せずに軟組織のみを除去することが求められる。
1. 水分子の飛散するスピードが超音速である。
2. 水分子はexplosionの始点から360°に広がる。
3. 水分子の大きさは2~3Aである(1Aは1/1000um)。
以上のことにより、加速された超微細な水分子が表面構造を傷つけることなく隅々まで到達し、細部にわたる除染を行うことができる。
さらに、この現象には次の3つの特性も備えていることが他の方法と比べて優位な点である。
a. Er:YAGレーザーで処理した表面は滅菌されている可能性が高い。
b. Er:YAGレーザーで処理した表面の温度上昇は軽微である。
c. Er:YAGレーザーで処理した表面はエンドトキシンなどが不活化されている1)。
エンドトキシンの不活化は、他の方法では不可能である。水分子はインプラント表面の構造よりはるかに小さく、かつ超音速で入り込むので、構造の隅々まで除染されている。さらに、温度上昇が軽微(4℃)なので表面を融解することなく除染される(表1)2)。
インプラント表面デブライドメントの方法
インプラントへのコンタミネーション除去には様々な方法があるが、確実かつ非侵襲的な方法は限られる。
1. 清拭・プラスチックスケーラー類
石灰化物の除去は困難で予知性に乏しい。
2. 純チタン製スケーラー
超音波スケーラーにより骨縁下へのアクセスも可能で、異種元素の残留もなく効果的である。
3. バー類によるインプラントプラスティ
除染効果は高いが、切削チタン微粒子の残留やインプラント強度低下などの問題があり、免疫応答への悪影響も報告されている。
4. 回転ブラシ(チタンブラシ)
欧米で推奨されつつあるが、多くはNi-Ti 合金製であり、ニッケル残留による毒性や金属アレルギーの懸念がある。
5. エアアブレージョン
β-TCPパウダーによる効果は高いが、気腫のリスクがある。
6. Er:YAGレーザー(アドベール SH)
Er:YAGレーザー「アドベール SH」でのデブライドメントは、非接触で水の小爆発Water Micro Explosionでデブライドメントする。チタン表面の温度上昇は4℃でインプラントに傷害を与えない。そして、Er:YAGレーザーの波長2.94umは、他のレーザーに比べて水に特異的に吸収し、その結果、水が瞬時に液体から気体へと転化する。その際に、体積が膨張(800~1,000倍)し、物理的エネルギーを利用して除染などを行うことができる。それが水の小爆発Water Micro Explosion法であり、Er:YAGレーザーを用いた除染はその原理を使っている。
さらに詳しく述べると、Water MicroExplosionには、次のような特性がある。
1. 水分子の飛散するスピードが超音速である。
2. 水分子はexplosionの始点から360°に広がる。
3. 水分子の大きさは2~3Aである(1Aは1/1000um)。
以上のことにより、加速された超微細な水分子が表面構造を傷つけることなく隅々まで到達し、細部にわたる除染を行うことができる。
さらに、この現象には次の3つの特性も備えていることが他の方法と比べて優位な点である。
a. Er:YAGレーザーで処理した表面は滅菌されている可能性が高い。
b. Er:YAGレーザーで処理した表面の温度上昇は軽微である。
c. Er:YAGレーザーで処理した表面はエンドトキシンなどが不活化されている1)。
エンドトキシンの不活化は、他の方法では不可能である。水分子はインプラント表面の構造よりはるかに小さく、かつ超音速で入り込むので、構造の隅々まで除染されている。さらに、温度上昇が軽微(4℃)なので表面を融解することなく除染される(表1)2)。
症例報告
症例1:インプラント周囲炎(図1~8)
•患者:50歳男性、喫煙者、リウマチにてメトトレキサート内服
•経過:3年前、6部にGBR併用でインプラント埋入
•所見:頰側に骨欠損を伴うインプラント周囲炎を認めた
•考察:喫煙および免疫抑制剤の影響が要因と考えられる
-
![[写真] インプラント周囲炎にてBOP(+)排膿を認める](/academic/dentalmagazine/wp-content/uploads/sites/2/2026/04//196-2_photo01.jpg)
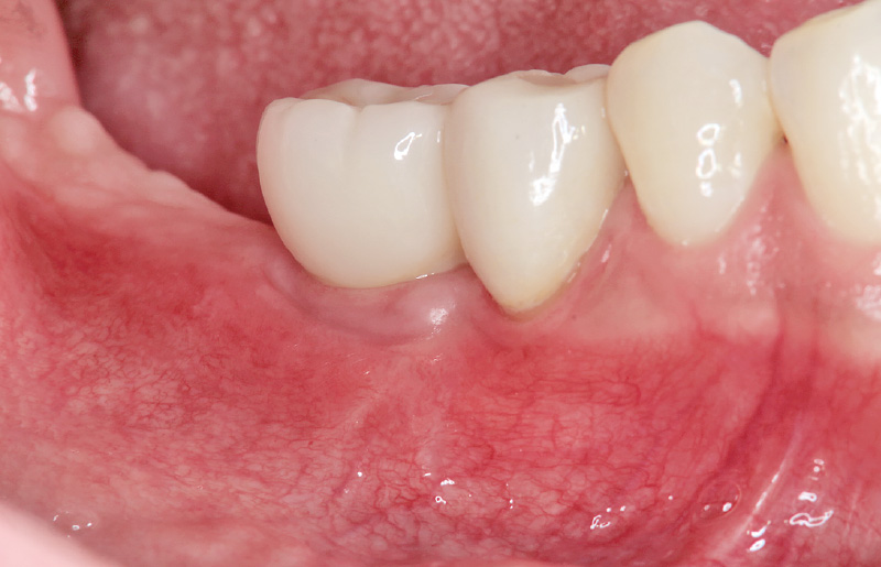
図1 症例1:6のインプラント周囲炎にてBOP(+)排膿を認める。 -
![[写真] 頰側に骨欠損を認める](/academic/dentalmagazine/wp-content/uploads/sites/2/2026/04//196-2_photo02.jpg)
図2 全層弁剥離を行う。頰側に骨欠損を認める。 -
![[写真] 感染組織を除去](/academic/dentalmagazine/wp-content/uploads/sites/2/2026/04//196-2_photo03.jpg)
図3 インプラント部の感染性肉芽組織に対しては、「アドベール SH」の「不良肉芽除去」モードを使用し、インプラント体には非接触で損傷を与えることなく、また骨に熱損傷を起こすことなく、効率的に感染組織を除去した。 -
![[写真] インプラント体に非接触でデブライドメントを行った](/academic/dentalmagazine/wp-content/uploads/sites/2/2026/04//196-2_photo04.jpg)
図4 「歯石除去」モードを用い、インプラント体に非接触でデブライドメントを行った。マイクロスコープ下の拡大視野において、一層のインプラント表面を慎重に削り取るイメージで処置を行うことが重要であり、拡大視野による精密操作が治療の成否を左右する。 -
![[写真] デコルチケーションを施行](/academic/dentalmagazine/wp-content/uploads/sites/2/2026/04//196-2_photo05.jpg)
図5 インプラント周囲炎により硬化性骨炎が生じ、骨への血液供給が期待できないため、デコルチケーションを施行した。その際、骨温度の上昇は4℃に留まり、熱による損傷は認められない。 -
![[写真] 骨補填材](/academic/dentalmagazine/wp-content/uploads/sites/2/2026/04//196-2_photo06.jpg)
図6 骨補填材は「ボナーク」を充填する。 -
![[写真] 水平的マットレスと単純縫合を行う](/academic/dentalmagazine/wp-content/uploads/sites/2/2026/04//196-2_photo07.jpg)
図7 テンションフリーを確認し、水平的マットレスと単純縫合を行う。 -
![[写真] 再GBR後4か月](/academic/dentalmagazine/wp-content/uploads/sites/2/2026/04//196-2_photo08.jpg)
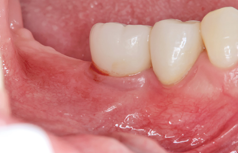
図8 再GBR後4か月。「アドベール SH」にてアクセルホールをパンチアウトして、上部構造をスクリューリテインにて固定する。再発防止のため、骨の成熟を待って遊離歯肉移植が必要と思われる。 -
![[表] 各機器を使用した際の作用部辺縁1mmの軟組織への温度変化](/academic/dentalmagazine/wp-content/uploads/sites/2/2026/04//196-2_table01.png)
表1 各機器を使用した際の作用部辺縁1mmの軟組織への温度変化
この記事はモリタ友の会会員限定です。登録すると続きをお読みいただけます。
残り 1740 文字
目 次
モリタ友の会会員限定記事
- Dental Talk 「Er:YAGレーザー」臨床応用の最前線~東京科学大学におけるEr:YAGレーザー活用法~
- Clinical Report インプラント周囲炎・インプラント再GBR・インプラントデブライドメントに有効なEr:YAGレーザー「 アドベール SH」
- Interview SPI World Symposiumを10年ぶりに開催 世界レベルのインプラント治療を国内で体感できる絶好の機会です
- Technical Report Superimpose Module「DUPY」を用いたこれからのインプラント補綴
- Dental Talk 歯科医師・歯科技工士連携 お互いを尊重し、信頼し合える関係を築くために必要なものとは
- Clinical Report 新世代の多機能レジン充填材料の臨床応用「ボンドフィルSB®Ⅱ」の効果的な臨床応用
- Field Report ブラケット矯正治療におけるセルフケアの重要性
- Clinical Report オラプラ液体包帯口腔用の臨床応用
- Field Report 一般開業医による矯正治療の新常識 アライナー矯正で広がる補綴治療
- Interview 「“量から質”の向上へ」デジタル機器の活用により業務効率化と患者満足を両立
- Field Report 患者さんの口腔への意識を変えるデジタル機器を活用した口腔衛生指導
- Field Report 新型ソニッケアーで補綴治療を支えるセルフケアを実践
- Dental Talk 積年の課題だったIPスキャナーの自社開発をついに実現「Veraview iP」開発の背景とその独自性
- Clinical Report 「口腔機能発達不全症」とは何か~「上手に噛めない・食べられない・呼吸できない」子どもたちの新しい健康課題と向き合う~
- Lecture 連載:歯科衛生士に必要とされる医科の知識<第3回>血液検査データ(2)
- Topics 歯科医療従事者として知っておきたい排泄・排便の基礎知識
- Dental Talk 大阪大学歯学部附属病院とモリタグループによる共同研究の現状「myDentalAI」で変わる歯科医療の未来
- Interview 開業・改装を目指す先生方へのヒントに(1) 院内システム構築の際に最優先で取り組むべきポイントとは
- Close Up 「最後まで口から食べることを日本一支援する病院」を目指して
他の記事を探す
モリタ友の会
セミナー情報
会員登録した方のみ、
限定コンテンツ・サービスが無料で利用可能
オンラインカタログでの製品の価格チェックやすべての記事の閲覧、臨床や経営に役立つメールマガジンを受け取ることができます。
商品のモニター参加や、新製品・優良品のご提供、セミナー優待割引のある、もっとお得な有料会員サービスもあります。