187号 WINTER 目次を見る
Clinical Report
SPIイニセルインプラントとTiハニカムメンブレンの臨床応用
キーワード:Tiハニカムメンブレンを用いた骨増生/イニセルインプラントの有用性
目 次
はじめに
SPIインプラントは純チタン製で、表面性状がSLA形状のティッシュレベルインプラントであり、さらにインプラント表面に超親水性加工が施されていることによって、オッセオインテグレーションのスピードが速く、早期の咬合負荷が可能であるため(図1)、近年では様々な欠損修復に対しての応用が期待されている1)。
SPIインプラントの特徴の一つとして、アバットメントスクリューのサイズも小さく、上部構造のアクセスホールも最小限に設定することが可能であるため、咬合接触点にアクセスホールが設定されることが少なく補綴設計においても優位性が高いと考えられる。よって、埋入深度・セメント残渣の予防などのメインテナンス性の観点から、スクリュー固定の締結様式を選択することが多く、審美部位である前歯部のインプラント補綴においても優位性があるといえる2)。
多くの歯牙欠損部において、抜歯後3ヵ月で約50%の歯槽堤が萎縮すると報告されており3)、歯根破折や歯周炎の程度によって、広範囲な骨欠損状態になると考えられ、望ましいインプラント周囲組織(硬・軟組織)の幅や高さに影響が出てくる可能性がある。そのために、補綴学・歯周病学的に望ましい部位へのインプラント埋入予定部位の残存骨量をあらかじめCBCTやインプラントシミュレーションソフトによる埋入計画は重要であり4)、骨量が不足している部位に対して骨増生(以下GBR)をおこなう必要がある。現在我が国においてインプラント部位におけるGBRに使用適応となっているメンブレンは、純チタン性のTiハニカムメンブレンとe-PTFEメンブレンである。その中でもTiハニカムメンブレンは、チタン製のメンブレンであるため生体親和性が高く、20μmのポーラスが空いている特徴があるため、粘膜からGBR部位への良好な血液供給が可能である。さらには厚さが20μmなので賦形性が高く3次元的な骨増生が可能であることは多く報告されている5)。
今回2症例を通じて、審美部位に対するSPIインプラントの応用とTiハニカムメンブレンを用いた骨増生の有用性を報告したい。
![[写真] 従来の疏水性インプラント表面性状(左)と超親水性のインプラント表面処理(右)](/academic/dentalmagazine/wp-content/uploads/sites/2/2023/12/187-6_photo01.jpg)
図1 従来の疏水性インプラント表面性状(左)と超親水性のインプラント表面処理(右)
症例1
64歳、男性。右側の咀嚼障害を主訴に来院され、現病歴は、2年前に右側第一大臼歯(#46)抜歯部位に、同側の第3大臼歯を移植したが、生着せず脱落し、当院来院まで欠損状態が続いていた。欠損している#46の骨の欠損状態から、周囲組織への感染が顕著であったと考えられた。
患者は可撤性補綴装置、歯牙切削を必要とするブリッジ治療を希望せず、インプラント治療にて欠損補綴を希望されたため、GBRによるサイトデベロップメントをおこなった後にインプラント体の埋入を計画した。
患者のパノラマX線所見では、欠損部における透過像は#47近心歯根面まで波及していることが確認された(図2)。歯周病学的口腔内所見(図3)ではPCR70%であり、広域性のステージⅠグレードBの歯周炎であったことから、GBR前の歯周基本治療を徹底し、患者の口腔内環境の向上・モチベーションの向上をそれぞれ図った。
歯周基本治療後の欠損に隣在する歯牙の歯周組織検査では、#45遠心と#47の近心部では2~3mmの歯周ポケットが存在し、歯周組織の安定が確認できた。しかしながら、第二大臼歯の近心舌側部では、2mmのアタッチメントロスも同時に確認された。
術前のCBCT所見では、欠損部における理想的なインプラント体の埋入位置には、パノラマ所見同様に水平・垂直的な骨量が大きく不足していることが確認された。特に、#47の近心面における骨吸収は顕著であった(図4)。しかしながら、アタッチメントロスは最小限であり、ポケットが正常値であったことから、歯根膜組織は正常であり骨再生の可能性は十分あると考え、欠損部のGBRをおこない、インプラント体の待時埋入を計画した。
![[写真] 術前のパノラマX線画像](/academic/dentalmagazine/wp-content/uploads/sites/2/2023/12/187-6_photo02-1.jpg)
図2-a 術前のパノラマX線画像。#46における顕著な骨吸収が確認される。-
![[写真] #46のCBCT像](/academic/dentalmagazine/wp-content/uploads/sites/2/2023/12/187-6_photo02-2.jpg)
図2-b #46のCBCT像。(ジーシー社製Aadva GX-100 3Dにて撮影) -
![[写真] 初診時の口腔内写真](/academic/dentalmagazine/wp-content/uploads/sites/2/2023/12/187-6_photo03.jpg)
図3 初診時の口腔内写真。 -
![[写真] #46の顕著な骨吸収が確認できる](/academic/dentalmagazine/wp-content/uploads/sites/2/2023/12/187-6_photo04.jpg)
図4 #46の顕著な骨吸収が確認できる。
術式および経過
十分な局所麻酔をおこなった後、切開線は歯槽頂よりも頰側に設定し、隣在歯の歯肉溝内切開をおこなった。欠損部では多くの肉芽組織が存在したため、剥離・翻転する際は一塊に行わず、メスを用いて肉芽組織と歯肉弁を切り離しておこなった。
骨面に存在する肉芽組織を全て除去した後に、#47の近心部をEr:YAGレーザー「アーウィン アドベール
EVO」(レーザー波長は2,940nm有し、他のレーザーと性質が違い、水への吸収率が多いため、組織深達性が低く、特に軟組織への使用においては変性層が10~50μmと報告されている1))を用いて歯肉縁下歯石のみの除去をおこない、可及的にセメント質の保存を図った。さらに、頰側歯肉弁骨膜に対してEr:YAGレーザーを用いて減張切開し、テンションフリーで閉創した(図5)。
さらに、欠損部骨面からの確実な血液供給を獲得するためにデコルチケーションし、本症例では欠損周囲骨からボーンスクレイパーにて自家骨を採取し、欠損部へ填入をおこなった。スペースメーキングのためにTiハニカムメンブレンを用いて、タックピンにて固定した(図6)。
術後4ヵ月でメンブレンの露出を認めたためメンブレンを除去した。増生した部分にはインプラントを埋入するために十分な硬組織が形成されていたため(図7)、GBR後約6ヵ月の治癒期間を経てSPIイニセルインプラントELEMENTφ4.0mm、9.5mm(THOMMEN
medical)を埋入した(図8)。初期固定は35Ncm以上を呈していた。
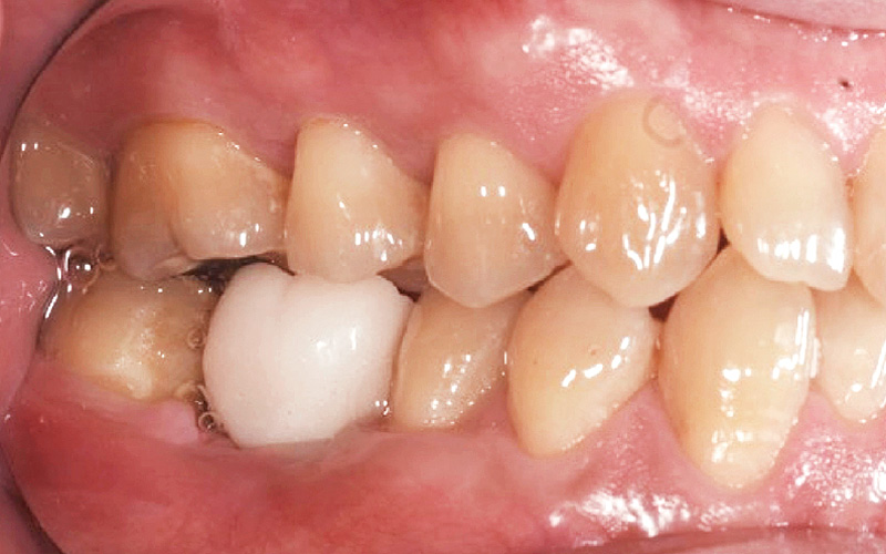
SPIイニセルインプラントは、インプラント表面に対し専用のコンディショニング剤で処理することにより血液との親和性が良好であり、2次安定性の獲得まで2週間とされている。そのため、本症例においては埋入後約1ヵ月でプロビジョナルレストレーションの装着をおこなった(図9)。1ヵ月の経過観察を行い、経過良好であったため、最終上部構造を装着した。術後1年以上経過しているが経過は良好である(図10)
![[写真] Er:YAGレーザーによる肉芽組織の除去、および減張切開](/academic/dentalmagazine/wp-content/uploads/sites/2/2023/12/187-6_photo05-1.jpg)
図5-a Er:YAGレーザーによる肉芽組織の除去、および減張切開。-
![[写真] Er:YAGレーザーによる減張切開](/academic/dentalmagazine/wp-content/uploads/sites/2/2023/12/187-6_photo05-2.jpg)
図5-b Er:YAGレーザーによる減張切開。 -
![[写真] 骨移植材の留置とTiピンにてTiハニカムメンブレンを固定](/academic/dentalmagazine/wp-content/uploads/sites/2/2023/12/187-6_photo06-1.jpg)
図6-a 骨移植材の留置とTiピンにてTiハニカムメンブレンを固定。 -
![[写真] 術後のパノラマX線画像](/academic/dentalmagazine/wp-content/uploads/sites/2/2023/12/187-6_photo06-2.jpg)
図6-b 術後のパノラマX線画像。 ![[写真] 術後6ヵ月の口腔内写真](/academic/dentalmagazine/wp-content/uploads/sites/2/2023/12/187-6_photo07-1.jpg)
図7-a 術後6ヵ月の口腔内写真。-
![[写真] 術後6ヵ月のCBCT像](/academic/dentalmagazine/wp-content/uploads/sites/2/2023/12/187-6_photo07-2.jpg)
図7-b 術後6ヵ月のCBCT像。 -
![[写真] 術後6ヵ月後、インプラント体埋入直前の口腔内の状況](/academic/dentalmagazine/wp-content/uploads/sites/2/2023/12/187-6_photo07-3.jpg)
図7-c 術後6ヵ月後、インプラント体埋入直前の口腔内の状況。 -
![[写真] インプラント体埋入直後](/academic/dentalmagazine/wp-content/uploads/sites/2/2023/12/187-6_photo08.jpg)
図8 インプラント体埋入直後。 -
![[写真] インプラントプロビジョナルクラウン装着時の口腔内写真](/academic/dentalmagazine/wp-content/uploads/sites/2/2023/12/187-6_photo09-1.jpg)
図9-a インプラントプロビジョナルクラウン装着時の口腔内写真。 -
![[写真] インプラントプロビジョナルクラウン装着時のパノラマX線写真](/academic/dentalmagazine/wp-content/uploads/sites/2/2023/12/187-6_photo09-2.jpg)
図9-b インプラントプロビジョナルクラウン装着時のパノラマX線写真。 -
![[写真] インプラント最終上部構造装着後1年3ヵ月の口腔内写真](/academic/dentalmagazine/wp-content/uploads/sites/2/2023/12/187-6_photo10.jpg)
図10 インプラント最終上部構造装着後1年3ヵ月の口腔内写真。
この記事はモリタ友の会会員限定です。登録すると続きをお読みいただけます。
残り 1983 文字
目 次
モリタ友の会会員限定記事
- Topics 【モリタが提案するDX】第3回:診査診断からセルフケア説明まで(実践事例)“患者さんに伝わる”デジタルツール活用法
- Clinical Report 修復治療のマイクロリーケージを回避するために
- Clinical Report ジルコニアカンチレバー接着ブリッジの装着におけるスーパーボンド®EXの有用性
- Clinical Report Er:YAG Laser を使った新認可事項に関する“勘どころ”(骨切削、インプラント体に付着した歯石の除去)
- Clinical Report 低侵襲歯周病治療に対するマイクロスコープ下でのEr:YAGレーザーの有用性
- Clinical Report SPIイニセルインプラントとTiハニカムメンブレンの臨床応用
- Clinical Report Tiハニカムメンブレンを用いた骨造成術
- Technical Report セラビアン®ZRパウダー選択の勘所~色合わせ症例へのパウダー選択基準の基本と考え方~
- Technical Report 臨床評価における可動式下顎前方位型口腔内装置の各破損に対する対処法
- Topics 神奈川歯科大学附属「歯科・健脳クリニック日本橋」認知症予防に向け本格運用を開始
- Close Up 連 載:超高齢社会における歯科医療が果たす役割 Part 17 義歯調整によって咀嚼機能を回復 自分の口で噛みしめて、味わう喜びを
- Interview 歯科医院で取り組む全身の健康管理と栄養指導の重要性
- Field Report マイクロスコープによるDHの精密診療と院内DX化で実践する「全員参加型診療」
- Interview 卒後2年目の若手歯科衛生士が働き続けたい歯科医院とは?
- Field Report 長期症例から見るメインテナンスの重要性と歯科衛生士の果たす役割
- Interview 「体感デモ」を経てソニッケアー導入 歯科衛生士の自主性を重んじた予防歯科運営のあり方
- Good Style Office 博多こおり歯科
他の記事を探す
モリタ友の会
セミナー情報
会員登録した方のみ、
限定コンテンツ・サービスが無料で利用可能
オンラインカタログでの製品の価格チェックやすべての記事の閲覧、臨床や経営に役立つメールマガジンを受け取ることができます。
商品のモニター参加や、新製品・優良品のご提供、セミナー優待割引のある、もっとお得な有料会員サービスもあります。